CT-guided cryoneurolysis – the freezing of nerves to alleviate pain – is safe and effective in older adults with rib fractures, according to a study published August 7 in JAMA Surgery.
In a case series, interventional radiologists at Stanford University in Stanford, CA, performed the procedure in a group of participants over 65 years old within 72 hours of admission. The patients had comorbidities prohibitive of standard surgical stabilization of rib fractures.
“Patients had significantly decreased pain scores after the procedure, and the analgesic effect persisted as expected at 30-day follow-up,” wrote first author Simeng Wang, MD, and colleagues.
In addition, there were no reported procedure-related adverse events or rib-specific readmissions, the group noted.
Cryoneurolysis is an intervention used to treat a variety of painful conditions. Similar to cryoablation, it involves inserting a small probe to freeze target nerves, yet unlike cryoablation, it maintains nerve regeneration. The procedure has been used intraoperatively during surgery to stabilize rib fractures.
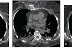
In this study, in 38 older participants (mean age, 75.6) who were ineligible for surgery, the group assessed whether a minimally invasive percutaneous approach that targeted intercostal nerves on ribs could be effective. CT imaging was used for guidance during the procedures.
Participants had a median of four rib fractures between ribs three and nine and a pain score equal to or greater than five with deep inspiration. Interventional radiologists performed the procedure using a 1.7-millimeter percutaneous cyroablation probe (Endocare PCS-17RS, Varian), with 31 patients (82%) completing the 30-day follow-up.
The median hospital length of stay was four days, within which time patients had significantly decreased median numeric pain scores, from eight (7-9) prior to the procedure to 5.5 (4-7) at discharge (p < 0.001). In addition, median pain scores had dropped to 2 (0-4) at 30-day follow-up (p < 0.001), according to the results.
“This case series demonstrated that PCNIN [percutaneous cryoneurolysis of intercostal nerves] is a safe and effective pain management modality after rib fractures in adults 65 years or older,” the group wrote.
Ultimately, rib fractures are common injuries in older adults and new approaches other than invasive surgery are needed to achieve durable analgesia, as well as reduce the use of opioid medications in these patients, the authors wrote.
Study limitations included the small sample size and possible nongeneralizability of results owing to the single institution setting, they noted.
“A larger, randomized clinical trial is needed to further characterize the benefits of PCNIN for this patient population,” the group concluded.
The full study is available here.



















