
If they're not careful, radiologists can miss significant unexpected findings in emergency department (ED) patients, according to a presentation on May 5 at the annual meeting of the American Roentgen Ray Society (ARRS) in New Orleans.
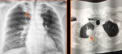
Potential missed findings include cancer, infection, pseudoaneurysm, fracture, and bowel perforation, according to an electronic exhibit at the meeting. First author Dr. Willie McClure of the David Grant USAF Medical Center at Travis Air Force Base in California and colleagues shared five cases that had obvious findings when recognized but which were not reported due to "tunnel vision" by the interpreting radiologists.
"Astute radiologists can wander by these diagnoses due to inattention blindness," McClure and colleagues wrote. "The cases in this exhibit can be of benefit in peer learning to teach places to perform a second look during interpretation."
The authors presented five cases at ARRS 2022, including a round white ball in the spleen that should be considered to represent a pseudoaneurysm until proven otherwise. The cases also encompassed a variety of imaging modalities, including x-ray, fluoroscopy, CT, ultrasound, and MRI.

Other case review highlights of the exhibit included missing bone margins that should be assessed to not miss malignant bony destruction, as well as numerous locules of gas adjacent to the colon that mimic diverticulosis, according to the ARRS.