
About one-third of adult women who have nondisplaced fractures to the forearm's ulna bone may be victims of intimate partner violence, according to a study to be presented at the RSNA 2020 meeting.
As a result, women with these types of injuries should be screened for intimate partner violence, noted the researchers, led by senior author Dr. Bharti Khurana of Brigham and Women's Hospital and lead author Dr. David Sing of Boston Medical Center.
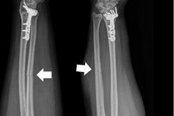
Ulna bone fractures, often referred to as nightstick fractures because they are seen in those who try to block blows from club-wielding police officers, occur when people hold up their hands to protect their faces from being struck. Researchers reviewed electronic medical records from six hospitals in search of isolated ulnar fractures in women between the ages of 18 and 50. Of the 62 patients identified, 12 were confirmed for intimate partner violence and another eight were suspected victims.
Analysis of the x-rays showed that minimally displaced fractures were linked strongly to intimate partner violence.
"The radiological characteristics we were looking at were the location of the fracture, the pattern of the fracture in terms of how it broke, and the displacement of the fracture," Sing said in a statement from the RSNA. "Out of all those things, what we usually saw was a minimally displaced fracture, meaning the bone is broken all the way through but has not shifted significantly."
Homelessness and prior visits to emergency departments for musculoskeletal injuries were also associated with confirmed cases, the authors wrote.



















