
Interventional radiology therapies involving the intra-arterial or intravenous infusion of tissue plasminogen activator (tPA) show promise for treating severe frostbite and reducing the need for amputation, according to a review published online February 5 in the American Journal of Roentgenology.
Severe frostbite has long been managed by a protocol of tissue rewarming and watchful waiting. But this approach can result in delayed amputation.
"Although some hypothermic and frostbite injuries can be conservatively managed with few or no adverse sequelae, severe frostbite injuries can lead to debilitating and even devastating injury with loss of digits and limbs," wrote co-authors Dr. John Lee and Dr. Mikhail Higgins of Boston Medical Center. "However, recent studies have shown promising results using ... tPA to treat severe frostbite injuries."

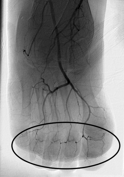
Lee and Higgins sought to evaluate the efficacy of intra-arterial and intravenous tPA therapies to treat these injuries and reduce the need for amputation. They reviewed 157 studies, finally including 16 that described using intra-arterial and intravenous tPA. The studies consisted of 209 patients with 1,109 digits at risk of amputation. In 15 of the 16 studies, patients were initially evaluated using digital subtraction angiography (DSA) or triple-phase bone scans.

Of the 209 patients, 116 were treated with intra-arterial tPA and 77 with intravenous tPA; the reasons for these treatment decisions were not clear in the studies, Lee and Higgins wrote. Patients were also treated with therapeutic heparin, warfarin, nonsteroidal anti-inflammatory drugs, pain management, and light dressings with topical antimicrobial agents, the authors noted.
Of the total number of at-risk digits, the overall salvage rate was 73.6%. By therapy, the salvage rate for patients treated with intra-arterial tPA was 76%, while the rate for patients treated with intravenous tPA was 62%.
Lee and Higgins offered a basic protocol for evaluating the use of thrombolytic therapy:
- Assess the degree of frostbite injury and extent of vascular compromise.
- Consider various selection and exclusion criteria for thrombolytic therapy, taking into account factors such as alcohol or drug involvement, or medical conditions such as diabetes or vascular disease.
- Use DSA to assess areas of impaired perfusion. DSA can also be used to start intra-arterial infusion therapy.
The review findings offer interventional radiologists a better understanding of current methods of treating severe frostbite, but more research is needed, according to Lee and Higgins.
"The main question of [intra-arterial] versus [intravenous] tPA therapy in effectiveness and clinical outcome has not been fully explored," they wrote. "As these topics continue to be investigated, algorithms for the optimal use of catheter-directed thrombolysis will become clearer as interventional radiologists play a progressive interprofessional role in treating patients with severe frostbite injuries."