
Digital tomosynthesis is nearly as good as MRI for detecting signs of rheumatoid arthritis, and both are much better than the reference standard, conventional radiography, according to a new study in the February issue of the American Journal of Roentgenology.
In the small study of 20 patients, Japanese researchers found that a digital tomosynthesis system performed almost as well as 3-tesla MRI in detecting bone erosion. The findings indicate that tomosynthesis could be used to screen patients at risk for arthritis, with better sensitivity than conventional x-ray but without the high cost of MRI.
"Although tomosynthesis is 1.7 times more expensive than radiography, it is still much cheaper than MRI," the authors wrote. "The use of tomosynthesis may be practical in screening potential subjects or in follow-up study for patients with rheumatoid arthritis with bone erosion" (AJR, February 2014, Vol. 202:2, pp. 386-390).
Low sensitivity
Radiography has traditionally been used to assess patients with rheumatoid arthritis, wrote lead author Dr. Takatoshi Aoki and colleagues from the University of Occupational and Environmental Health. However, previous research has shown radiography to have low sensitivity in the detection of bone erosion.
MRI has had more success in visually detecting bone erosion before the condition can be seen on conventional x-rays. Meanwhile, tomosynthesis has the ability to evaluate subtle fractures and joint surface, as well as image metallic implants.
The current retrospective study included 20 consecutive patients with confirmed rheumatoid arthritis. The 15 woman and five men (age, 21 to 73 years) had suffered from the affliction anywhere from two months to 52 months. All 20 subjects underwent digital radiography, tomosynthesis, and MRI of the bilateral hand and wrist within a week of study enrollment.
The conventional x-ray exams were performed with a computed radiography (CR) system (FCR, Fujifilm Medical Systems) and included posteroanterior and oblique views of the hand and wrist, with a mean total radiation dose of 0.13 mGy per patient. The tomosynthesis scans were performed on a flat-panel digital radiography (DR) system (SonialVision Safire II, Shimadzu Medical Systems) with a total of 36 low-dose images collected at a mean total radiation dose of 0.25 mGy.
MRI was performed on a 3-tesla scanner (Signa 3T, GE Healthcare) using a T1-weighted sequence with contrast-enhanced fat-suppressed coronal and axial gradient-echo images.
Two radiologists reviewed the three sets of images to detect bone erosion in 25 sites in each finger and wrist. The assessment included the distal radius, distal ulna, eight carpal bones, first through fifth bases of metacarpal bones, and proximal and distal aspects of the first through fifth metacarpophalangeal joints.
The radiologists analyzed the extent of bone erosion on a four-point scale, with 0 indicating normal, 1 as discrete erosion, 2 denoting less than 50% erosion of the joint surface, and 3 indicating at least 50% erosion of the joint surface.
Erosion detection rate
Tomosynthesis and MRI detected significantly more bone erosions than conventional radiography, the researchers found. The detection rate for tomosynthesis was 36.1%, compared with 36.7% for MRI and 26.5% for digital radiography.
The x-ray modalities also demonstrated different accuracy levels when MRI was used as the reference standard.
| Tomosynthesis vs. x-ray for bone erosion | ||
| Measurement | Tomosynthesis | X-ray |
| Sensitivity | 94.8% | 68.1% |
| Specificity | 97.8% | 97.5% |
| Accuracy | 96.7% | 86.7% |
Interobserver agreement for bone erosion was good to excellent for all three modalities (0.65-1.00) for the metacarpophalangeal joints. However, in the base of the metacarpal bone, interobserver agreement for bone erosion was only fair on radiography for the bases of metacarpals II (0.56) and III (0.45), compared with good to excellent for tomosynthesis (0.68-0.93) and MRI (0.68-0.95) for all sites.
In addition, interobserver variability for bone erosion in the carpal bones was good to excellent for tomosynthesis (0.65-0.93) and MRI (0.70-0.92) for all sites, but it was only slight to fair with radiography for the capitate (0.27), hamate (0.52), triquetrum (0.22), and pisiform (0.26) bones.
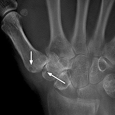
Images are of a 67-year-old man with rheumatoid arthritis. Bone erosion with significant overlapping of bones (arrows) can be difficult to evaluate on radiography (above), compared with tomosynthesis (below and bottom). Images courtesy of AJR.


Based on the results, "tomosynthesis is far superior to radiography and is comparable to MRI for the detection of bone erosion in patients with rheumatoid arthritis," Aoki and colleagues wrote.
Early intervention
Early detection and treatment of rheumatoid arthritis is important to prevent permanent joint damage, the authors noted. The presence of bone erosion suggests highly active rheumatoid arthritis, and treatment needs to be adjusted if such damage continues to progress. Tomosynthesis may provide the best value for this purpose, according to the group.
"The use of MRI in screening potential subjects and in frequent follow-up is difficult because of practicability and cost issues," Aoki and colleagues wrote. "The costs of MRI, tomosynthesis, and radiography ... are approximately $200 (without contrast media), $50, and $30, respectively, in our country."
Therefore, tomosynthesis may be more practical for screening or following up rheumatoid arthritis patients for bone erosion.
The authors cited several limitations to the study, including the small sample size and the fact that interobserver reproducibility was not assessed. They recommended additional prospective research with a larger number of patients to confirm the clinical usefulness of tomosynthesis.



















