
The U.S. National Institutes of Health (NIH) has launched the Medical Imaging and Data Resource Center (MIDRC), which will provide artificial intelligence (AI) and medical imaging data to clinicians treating patients with COVID-19.
The MIDRC was created in collaboration with NIH's National Institute of Biomedical Imaging and Bioengineering. It will facilitate rapid and flexible collection, analysis, and dissemination of imaging and associated clinical data that physicians can use for early detection and personalized therapies for patients with COVID-19.
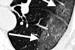
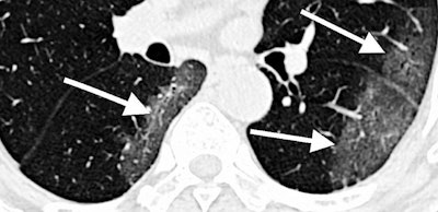
CT scan of lungs of COVID-19 patient with areas described by radiologists as resembling grains of ground glass. Image courtesy of RSNA.The goal of the center is to lead the development and implementation of new diagnostic tools, including machine-learning algorithms, that will enable the rapid and accurate assessment of disease status and help physicians optimize patient treatment.
The MIDRC effort is being led by Maryellen Giger, PhD, of the University of Chicago, with contributions from Dr. Etta Pisano and Michael Tilkin from the American College of Radiology; Dr. Curtis Langlotz, PhD, and Dr. Adam Flanders, who are representing RSNA; and Paul Kinahan, PhD, from the American Association of Physicists in Medicine.




















