
Chest CT at a radiation dose under 1 mSv can accurately and rapidly assess COVID-19 infection in emergency room patients -- particularly those who have had symptoms longer than 48 hours, according to a study published April 21 in Radiology: Cardiothoracic Imaging.
The results are good news for clinicians seeking to diagnose patients quickly while also avoiding undue radiation exposure, wrote a team led by Dr. Anthony Dangis of Imelda Hospital in Bonheiden, Belgium.
"[We found] an estimated radiation dose reduction by a factor of five," the group wrote. "Given the widespread use of chest CT for COVID-19 detection, our results demonstrate the feasibility of using low-dose chest CT to achieve an important reduction in radiation dose on a population level during this pandemic."
Real time polymerase chain reaction (RT-PCR) testing is currently the gold standard for diagnosing COVID-19, but its sensitivity can be as low as 70%, the group noted. Chest CT offers an additional diagnostic tool for the disease, with a sensitivity of more than 90%, according to some studies.

But CT exams can impart radiation dose to patients -- and interpretation of CT images can take time. So how low can CT radiation dose go and still be diagnostic, and how quickly can CT reports be turned around?
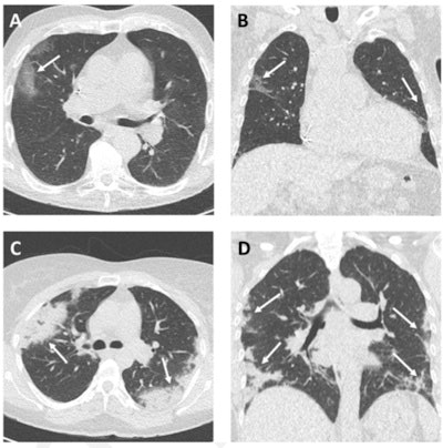
To find out, Dangis's team conducted a study of 192 emergency room patients with COVID-19 symptoms who underwent low-dose submillisievert chest CT as well as RT-PCR testing between March 14 and 24. The CT protocol consisted of the following: 100 kVp, 20 mAs, a pitch of 1.2, and gantry rotation time of 0.5 seconds.
Of the 192 patients, 43.2% were positive for COVID-19 and 56.8% were negative. Mean patient age was 62, but those patients with the illness were older than those without it (67 years compared with 57 years) and more likely to present with fever (68.7% compared with 45.9%).
The group found that low-dose submillisievert chest CT performed well across a variety of measures, especially in patients with symptoms for more than 48 hours:
Low-dose submillisievert chest CT performance for COVID-19 in ER patients | ||
Performance measure | Overall | In patients with symptoms for more than 48 hours |
Sensitivity | 86.7% | 95.6% |
Specificity | 93.6% | 93.2% |
PPV | 91.1% | 91.5% |
NPV | 90.3% | 96.5% |
Accuracy | 90.6% | 94.2% |
Dangis and colleagues also found that the mean effective radiation dose for their low-dose chest CT protocol was 0.56 mSv. Median time between the acquisition of the CT images and the patient report was 25 minutes (range: 13-49 minutes). Intra- and interreader agreement for the CT exams was 0.96 and 0.95.
Low-dose chest CT appears to be an effective additional tool to RT-PCR for diagnosing patients with suspected COVID-19 infection, according to the researchers.
"Low-dose chest CT may play a complementary role to RT-PCR for the early triage of patients with possible COVID-19 infection," they concluded.