
The identification of matted lymph nodes on a CT image does not bode well for throat cancer patients who are infected with the human papillomavirus (HPV). These patients have a significantly higher risk of their cancer spreading, an article published online January 13 in Head and Neck reports.
A multidisciplinary team of University of Michigan Health System researchers concluded that matted lymph nodes are a novel marker of poor prognosis in HPV-positive patients with oropharyngeal squamous cell carcinoma, a cancer located on the back of the tongue, the soft palate, the throat, and/or the tonsils.
Identifying patients with matted lymph nodes before they receive treatment could have significant implications because treatment could be better tailored to improve overall survival. Conversely, some patients who do not have matted lymph nodes may not require as aggressive treatment, which can cause serious, debilitating toxicities.
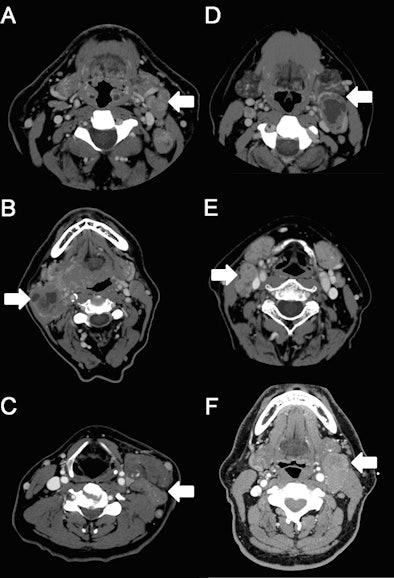
Matted lymph nodes are lymph nodes larger than 1 cm that feel connected and seem to move as a unit. On a CT image, a matted lymph node appears to overlap with another lymph node, whereas a "regular" lymph node does not.
![]() |
| CT scans demonstrating examples of matted nodes (A-C) and nonmatted nodes (D-F). The nodes are noted with arrows. Image courtesy of University of Michigan Comprehensive Cancer Center. |
Putting throat cancer in perspective
An estimated 52,140 new cases of head and neck cancer will be diagnosed in 2012, the University of Michigan Health System cited from the American Cancer Society (ACS). Alcohol consumption and smoking are causal factors for a person to develop oropharyngeal squamous cell carcinoma.
But so is having HPV. In fact, the ACS states on its website that while smoking-related oropharyngeal cancer is declining, the decline is offset by a rapid rise in HPV-related oropharyngeal cancers. The ACS cites research conducted by the U.S. National Cancer Institute and Ohio State University which predicts that by 2020, HPV-positive oropharyngeal squamous cell carcinoma will surpass cervical cancer as the most common HPV-associated cancer in the U.S.
An estimated 11,460 deaths, or 2% of all projected cancer deaths, will be caused by head and neck cancer this year, according to ACS. Almost half of the throat cancer patients who die do so as a result of developing distant metastases.
The only good news is that a number of peer-review published results of clinical trials determined that HPV-positive patients who didn't smoke or drink alcohol tended to have better odds of survival. However, not all did. This has been confounding to radiation oncologists.
The study
The current study found that matted lymph nodes are a sign of a poor long-term prognosis for HPV-positive patients. Researchers examined a cohort of 78 individuals with stage III or IV oropharyngeal squamous cell carcinoma enrolled in a prospective phase II clinical trial. The trial had been conducted to evaluate the toxicity and efficacy of weekly concomitant treatments with the chemotherapy agents carboplatin and paclitaxel and intensity-modulated radiation therapy. All patients enrolled in the trial were treated between 2003 and 2007.
A total of 61 patients were HPV-positive, 10 of whom had matted nodes. Six of the 10 patients died of their disease, a 60% death rate. By comparison, only five (8.6%) of the 51 HPV-positive patients with normal lymph nodes died. The three-year overall survival rate for the entire group was 84%, but those who had matted nodes had a survival rate of 69%, compared with 94% for those without matted lymph nodes.
Patients with matted nodes were more likely to develop distant metastases, whereas patients with normal nodes were more likely to develop a local recurrence.
The research team led by Dr. Douglas Chepeha, associate professor of otolaryngology and the study's senior author, reported that among HPV-negative patients there was no significant difference in disease-free survival when stratified by matted nodes.
Because patients were managed nonsurgically, it was not possible to histologically confirm cancer and/or extracapsular spread in the images of lymph nodes, the researchers noted. As a result, some of the imaged lymph nodes could have been inflammatory or associated with a significant immunologic response. The group suggested that there might be molecular differences between normal and matted lymph nodes, and recommended that future studies include pathologic assessment to delineate the biologic differences of these tumors.
The research team does believe, however, that the discovery that matted lymph nodes are a prognostic marker will benefit throat cancer patients.
"The finding of matted nodes may help to identify patients who are likely to fail concomitant chemotherapy and radiation therapy and might be considered for exclusion or stratification in de-escalation trials," the authors wrote.
Because the disease-free survival of patients in the HPV-positive cohort with no evidence of matted nodes was 90%, de-escalated treatment with a lowered risk of unpleasant toxicities may be warranted, they suggested.




















