Top Story
Latest News
Medicare revises temporary claims hold
October 20, 2025
LLMs show promise in interventional radiology education
October 20, 2025
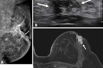
Cases of the Week
Check out our Cases of the Week!
Join Us!
Read More
More from AuntMinnie
Hyperfine begins enrolling PRISM PMR trial for Swoop system
October 21, 2025
Siemens introduces mobile stroke unit at World Stroke Congress
October 21, 2025
Pluvicto reduces progression of advanced prostate cancer
October 20, 2025
Accuray taps new CEO
October 20, 2025
Viz.ai debuts Viz Assist
October 20, 2025
Brainomix highlights clinical results at CHEST conference
October 20, 2025


















