Nocardia:
(Click small images to view larger radiographs)
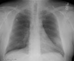
The patient is an elderly man with a history of lymphoma that presents with fever, cough, and an elevated white blood cell count.
The initial chest radiograph demonstrated a left lower lobe infiltrate.

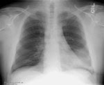
The patient was treated with a course of antibiotics with some clinical improvement, but a follow-up chest radiograph demonstrated that the infiltrate had enlarged and appeared mass-like.

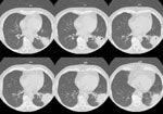
A CT scan of the chest demonstrated a large, cavitary infiltrate extending to the pleural surface within the left lower lobe. Sputum cultures and bronchoalveolar lavage yielded no organisms. Norcardia was cultured from a percutaneous specimen.







