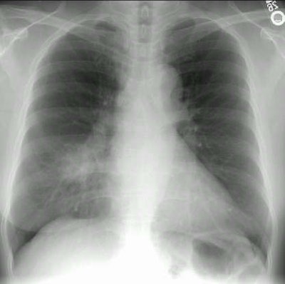
Rounded Pneumonia
Although most commonly found in children, adults can present with rounded pneumonia. This middle-aged female patient presented with a cough and fever. Her chest radiograph revealed a rounded density which was located in the right middle lobe. Because the patient had a smoking history there was a concern that she might have a lung cancer. Clinically, however, the patient appeared to have a pneumonia and she was treated with antibiotics.
Follow-up CXR demonstrated resolution of the rounded pneumonia after completion of antibiotic therapy.







