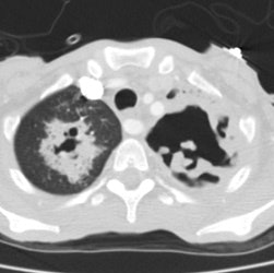
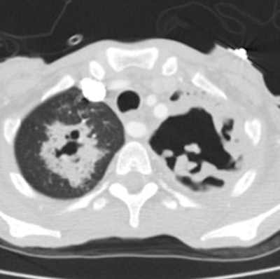
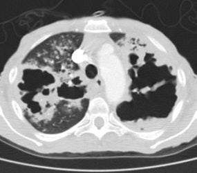
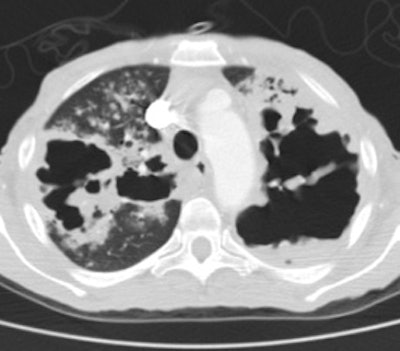
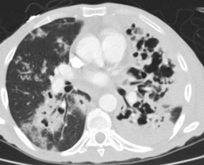
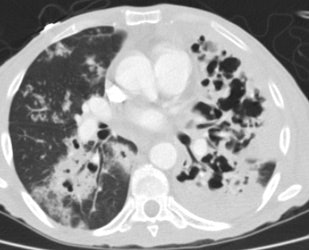
Extensive tuberculosis:
The patient below presented for evaluation of an abnormal CXR. The CT revealed bilateral extensive cavitary consolidations (essentially replacing the left lung), a large cavitary lesion in the right apex, and multiple scattered nodules and "tree-in-bud" opacities. The patient was found to have active TB.








