AJR Am J Roentgenol 1994 Feb;162(2):279-282
Idiopathic giant bullous emphysema (vanishing lung syndrome): imagingfindings in nine patients.
Stern EJ, Webb WR, Weinacker A, Muller NL
Department of Radiology, Harborview Medical Center, University of Washington, Seattle 98104.
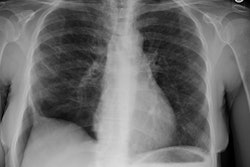
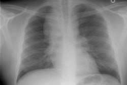
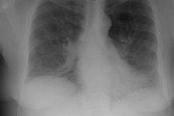
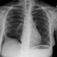
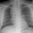
OBJECTIVE. We reviewed the imaging findings in nine patients with idiopathic giant bullous emphysema. This progressive condition is characterized by large bullae, usually seen in association with several forms of emphysema, and usually occurs in young men, most of whom are smokers. MATERIALS AND METHODS. Nine patients with chest radiographic evidence of a bulla or bullae occupying at least one third of a hemithorax, who had also been examined with high-resolution CT, were included in this retrospective study. We examined the size, distribution, and locations of bullae. On high-resolution CT scans, bullae were categorized as predominantly subpleural or intraparenchymal. RESULTS. In eight of the nine cases, the chest radiographs showed variable asymmetry in the distribution of bullae. Bullous disease involved predominantly the upper lobes. High-resolution CT showed bullae from 1 to 20 cm in diameter, but most were 2-8 cm in diameter. Paraseptal emphysema and subpleural bullae were the predominant findings in all nine patients. Seven patients had separate centrilobular emphysema of various degrees and intraparenchymal bullae. None of the intraparenchymal bullae were larger than 2-3 cm. Additionally, two non-small-cell lung cancers were seen in our series. CONCLUSION. The dominant and consistent feature seen on high-resolution CT scans in both smokers and nonsmokers is extensive paraseptal emphysema merging into giant bullae. Associated centrilobular emphysema, seen in cigarette smokers, is the important variable finding for determining the extent of underlying parenchymal disease, which may help in the preoperative assessment of giant bullous lung disease.
PMID: 8310909, MUID: 94144462







