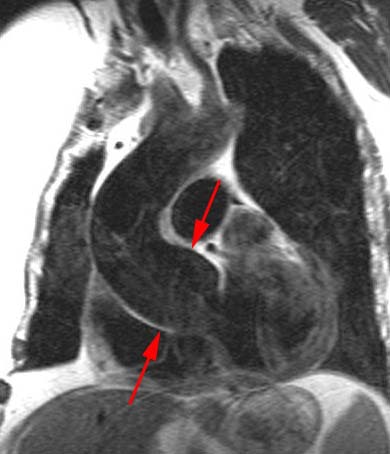
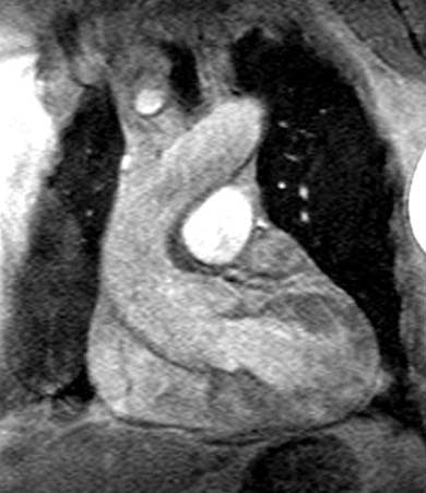
Marfan's Syndrome:
In the images below, the arrows point to the dilated aortic root which has a characteristic "onion bulb" or "pear" shape. The sinotubular junction is effaced, and there is mild aneurysmal enlargement of the sinuses of Valsalva (measuring 5.1 cm).









