Type A Dissection:
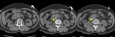
The non-contrast CT examination revealed displacement of intimal calcifications consistent with a dissection (yellow arrows)

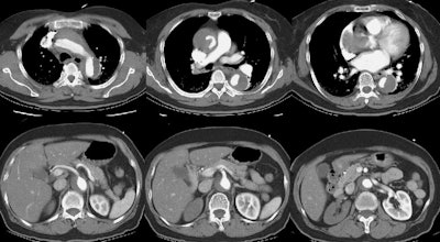
The contrast CT scan revealed an extensive Type A aortic dissection which extended into the aortic root. The true lumen is compressed by the false lumen.

An angiogram demonstrated the channel between the true and false lumens (arrow)








