Aortic Nipple:
On chest X-ray the aortic nipple appears as a small nubbin along the superolateral aspect of the aorta (yellow arrow).

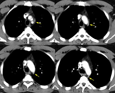
Cross sectional imaging with CT nicely demonstrates the superior intercostal vein and the accessory hemiazygous vein uniting to form a venous arch which courses about the aortic arch (yellow arrows below) to empty into the left brachiocephalic vein (connection not shown on these images), this venous arch is what forms the aortic nipple (click image to enlarge).








