Epithelioid Hemangioendothelioma:
Clinical:
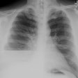
Epithelioid hemangioendothelioma is a rare vascular malignant tumor of the pleura. The tumor is more commonly found in the soft tissues, lung, liver, or bone. Most affected patients are older men who present with complaints of chest pain and dyspnea. Prognosis is poor.
X-ray:
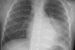
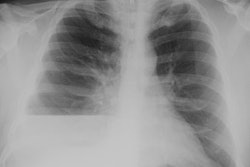
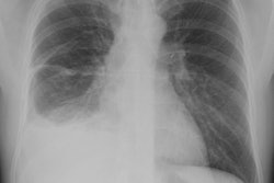
The lesion typically presents with a pleural effusion with associated smooth, nodular pleural thickening (resembling a mesothelioma).
REFERENCES:
Epithelioid hemangioendothelioma of the pleura: Clinical and radiologic features. 175: 1545-1549





