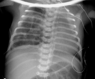
Congenital Cystic Adenomatoid Malformation:
In the case below, a newborn infant presented with repiratory difficulty, hypoxia, and cyanosis immediately following delivery. The films below were take 24 hours after delivery and demonstrate the presence multiple air filled cysts within the right hemithorax. A cross table supine exam demonstrates the presence of air-fluid levels within many of the cysts. At surgery, the patient was found to have a Type I CCAM which involved the right upper lobe.






