Cystic Fibrosis:
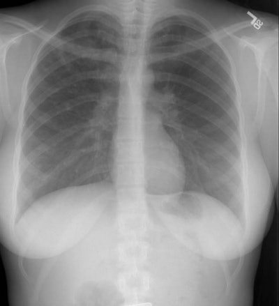
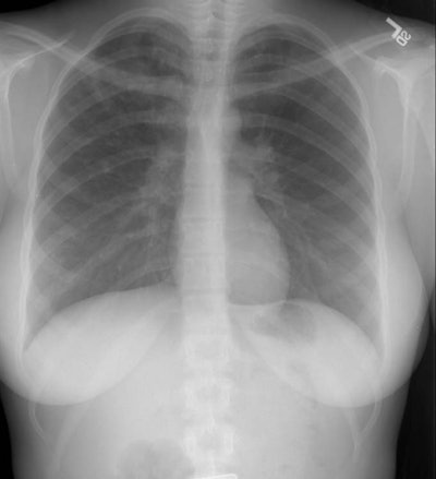
The chest radiograph below is on a 22 year old female patient with cystic fibrosis. The abnormalities are predominantly confined to the upper lobes- particularly the right upper lobe. Ring shadows, tram-tracking, and peripheral branching densities are all evident.
(Click image to magnify)





