Bronchial Atresia:
The chest radiograph below was obtained on a middle aged female patient who was pre-op for pelvic surgery. The exam demonstrate a branching density in the right upper lung. There are also decreased lung markings in the right upper lung. The finding can be better seen on a coned view. CT scan is shown below.

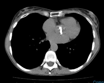
The CT scan demonstrates a characteristic tubular or branching mucoid imapaction within the distal portion of the atretic bronchus surrounded by an area of emphysematous lung. No endobronchial lesion was identified at bronchoscopy.





