Europe
Clinical News
Informatics
Industry News
Practice Management
Education
Subspecialties
More
Sign In
Medical Students
Residents/Fellows
Scott Williams
Residents/Fellows: Page 57
Ref1 SPECT seizure
By
Scott Williams
August 28, 2001
Cholecysitis scintigraphy discussion
By
Scott Williams
Cholecystitis can be divided into three subtypes: Acute, Chronic, and Acalculous. Dr. Scott Williams discusses and illustrates each subtype in this excerpt from
Thoracic Imaging on the Internet
August 28, 2001
GBEF protocol
By
Scott Williams
August 28, 2001
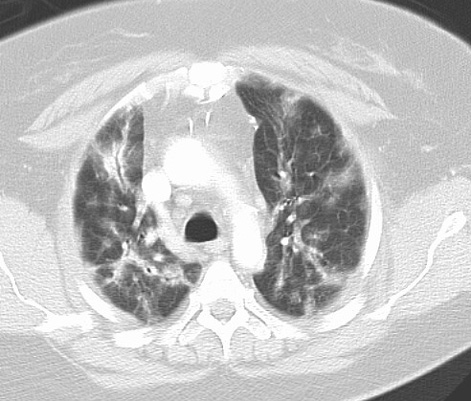
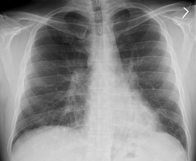
Bronchiolitis obliterans organizing pneumonia discussion
By
Scott Williams
Bronchiolitis obliterans with organizing pneumonia (BOOP) is a histologic description and not a specific diagnosis. BOOP represents a proliferative bronchiolitis associated with organizing pneumonia in the surrounding lung parenchyma.
August 28, 2001
Ref7 BOOP
By
Scott Williams
August 28, 2001
Reference 5 for BOOP discussion
By
Scott Williams
August 28, 2001
Reference 3 The bronchi: an imaging perspective
By
Scott Williams
August 28, 2001
Reference 1 chronic interstitial pneumonias
By
Scott Williams
August 28, 2001
Cases of Bronchiolitis Obliterans Organizing Pneumonia/Cryptogenic Organizing Pneumonia
By
Scott Williams
August 28, 2001
BOOP presenting with pulmonary nodules
By
Scott Williams
August 28, 2001
BOOP case 2
By
Scott Williams
August 28, 2001
Cryptogenic Organizing Pneumonia
By
Scott Williams
August 28, 2001
Previous Page
Page 57 of 64
Next Page