CT Staging in Lung Cancer

 


The Role of CT in Staging Bronchogenic Carcinoma

Routes of Spread

The most common routes of metastatic spread of lung cancer are to the contiguous lymph nodes in the lung and mediastinum [19]. The peribronchial and segmental lymph nodes are commonly the first site of regional node metastases. These lymph nodes are within the visceral pleural envelope and are potentially resectable with an anatomic lung resection [20]. Metastases beyond the visceral pleura are next found in the ipsilateral mediastinal and/or subcarinal nodes. Metastases to mediastinal nodes can occur in the absence of hilar node disease due to the presence of direct lymphatic channels to the mediastinum [21]. Left upper lobe lesions can drain directly to the aorto-pulmonary window, left paratracheal node stations, or subcarinal nodes [20-22], and right upper lobe lesions may drain to the right paratracheal chain [21,22]. "Skip metastases" (mediastinal nodal metastases without hilar metastases) are found in up to 30% of patients presenting with bronchogenic carcinoma and can occur with tumors in sites other than the right or left upper lobes [21]. The possibility of skip metastases is the reason complete dissection of the regional mediastinal lymph nodes is essential during surgical resection even when there are no apparent hilar lymph node metastases [21].  

Computed Tomography for the Detection of Pathologic Adenopathy in Bronchogenic Carcinoma:

Computed tomography (CT) is the mainstay of radiological imaging for the staging of bronchogenic carcinoma [23]. It is the role of the radiologist to define the anatomic extent of the tumor and assist the thoracic surgeon in deciding whether the tumor is potentially resectable or likely unresectable. The cross-sectional capabilities of CT allow evaluation of the hila and mediastinum for the presence of nodal metastases, as well as assessment for extrathoracic metastases. As CT is an anatomic exam, the presence of malignant nodes is based primarily upon size criteria. Several studies have examined the size of normal mediastinal lymph nodes which averages approximately 1 cm [24-26]. Size has been shown to vary depending on location within the mediastinum [24,25], and size may also vary depending on the prevalence of granulomatous disease in the geographic region and presence of underlying lung disease [26]. Lymph nodes within the mediastinum tend to be oriented vertically, the transverse plane of the CT scan generally records the width and not the length of the node [25,27]. Although not universally accepted, a short axis diameter in the transaxial plane greater than 1 cm is generally considered pathologic and indicative of tumor spread by CT [23,25,28; and other studies listed below]. By decreasing the size criteria by which a lymph node is considered pathologic, the sensitivity of CT becomes higher, but the specificity becomes lower [29]. Although the probability of metastases increases with increasing lymph node size [26,30], CT cannot reliably differentiate enlarged malignant mediastinal nodes from benign enlarged hyperplastic lymph nodes. Nor can CT detect the presence of microscopic tumor foci in lymph nodes of normal size-- an important limitation to bear in mind when 10% to 64% of all mediastinal nodal metastases occur in clinically normal lymph nodes [1,31-34].  

Despite its limitations, CT does provide useful pre-operative staging information. It can provide a road map for the surgeon during mediastinoscopy to permit efficient nodal sampling and can also reveal possible involvement of nodes not accessible to mediastinoscopy that would require biopsy by other means [35].  

It is important to remember that a CT scan is neither positive or negative for mediastinal lymph node metastases-- it shows either an enlarged node or a normal sized node [31]. If a node is enlarged, it must be examined pre-operatively. The decision to performed mediastinoscopy in the absence of CT abnormalities is affected by a number of factors including the surgical team involved, the patient's operative risk, the tumor cell type, and whether the presence of pathologic mediastinal nodes at mediastinoscopy is considered an indicator of unresectable disease.  

Computed Tomography for Staging Hilar Lymph Nodes: N1

The anatomic pulmonary hilum is the triangular depression on the mediastinal surface of the lung through which the bronchi and blood vessels enter. The radiologic definition is the opacity caused by the bronchi and blood vessels themselves [22]. According to the American Joint Committee on Cancer classification scheme for nodal stations, the hilar nodes are classified as 10R and 10L, more distal nodes are classified 11R/L through 14 R/L (includes interlobar, lobar, segmental and subsegmental nodes) [5]. Although mediastinal nodes are clearly demonstrated on CT because they are surrounded by fat, the recognition of hilar nodes requires an understanding of the normal appearance of the complex system of arteries and veins in cross section [22]. Normal hilar lymph nodes are located in the interstitium between the bronchus and the pulmonary vessels (peribronchovascular interstitium). The distinction between normal nodes and the interstitium is difficult on CT, and this area typically appears as a hypoattenuating region adjacent to the pulmonary hilar vessels and bronchi [36]. Hilar nodes are most numerous at bronchial bifurcations, and are often located between the major bronchi and the pulmonary vessels [22].  
  

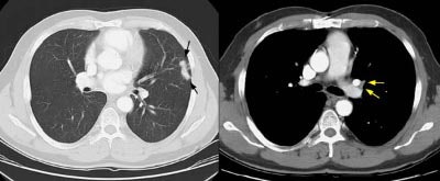
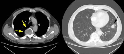
    Example of the normal hilar interstitium: The images below are from a patient without bronchogenic carcinoma. The images demonstrate normal hilar lymphatic tissue (yellow arrow right image) which appears as a low density region between the bronchus and pulmonary vessel. A small calcified node is seen on the right (red arrow) in this patient with prior granulomatous disease.   NOTE:  Click image to enlarge.

      08290111234735 Normal Hila S

Although the presence of metastases to ipsilateral hilar nodes will influence patient prognosis, their presence generally does not affect operability [37]. Because patient management is not affected, some authors feel that hilar nodes are unimportant [30]. Primarily as a result of this general feeling, there has not been an extensive evaluation of the accuracy of computed tomography for the evaluation of ipsilateral hilar adenopathy.  

Using the standard 1 cm size criteria for the presence of metastatic hilar adenopathy, the sensitivity ranges from 17% to 89%, the specificity from 50% to 86% [30,37], and the accuracy from 20-68% [36]. Given that the accuracy of chest radiographs for the detection of hilar involvement has been reported to be between 61% to 71% [22], it would appear that CT does not contribute significantly to the detection of hilar adenopathy.  

Recently it has been proposed that with the use of helical CT the standard criteria for abnormal nodes (i.e., size greater than 1 cm) lacks sensitivity for the presence of hilar adenopathy [36]. The normal peribronchovascular interstitium adjacent to the hila contains lymph nodes and normally has a concave or straight margin with the adjacent lung parenchyma [38] and this finding is not affected by the level of pulmonary distention. By using the presence of a convex margin of the interstitium with the adjacent lung parenchyma to indicate the presence of hilar metastases, a sensitivity of 87% can be achieved (specificity 88%, and accuracy 88%) [36]. This criterion has also been shown to have good interobserver agreement. In another study of the peribronchovascular interstitium and hilar lymph nodes by spiral CT, it has also been suggested that a short axis diameter of greater than 3 mm be considered abnormal, but further studies have yet to confirm this criterion [39]. A limitation of either of these criteria is that other conditions can also produce the presence of adenopathy with convex bronchovascular margins or increased transverse diameter including sarcoidosis, bronchiectasis, chronic bronchitis, and interstitial fibrosis [36].  
  

    New Criterion for Determination of Pathologic Hilar Adenopathy

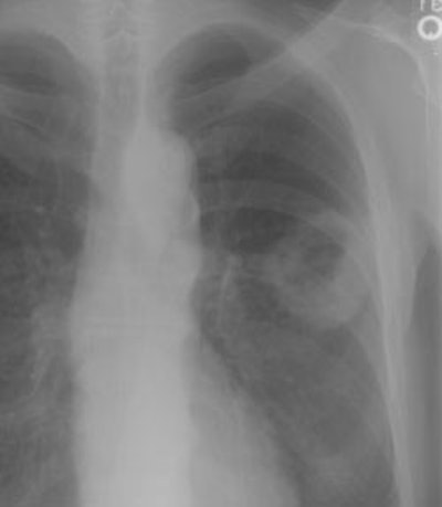
    Example 1: This is an example of an N1 node in a patient with a lingular adenocarcinoma (left image). Although not pathologic by short axis size criteria, the lymphatic tissue in the left hilum has a convex border with the adjacent lung (white arrows). This node contained adenocarcinoma at histopathologic analysis. Some authors advocate using the presence of a convex margin of the interstitium with the lung parenchyma to indicate pathologic adenopathy to improve the sensitivity of CT for detecting hilar metastases [36].

NOTE:  Click image to enlarge

 08290111234853 N1 New Criterion S 

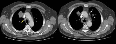
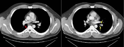
    Example 2: This patient is an example of a false negative CT for hilar nodal metastases even when applying the suggested new criterion. The patient had a peripheral adenocarcinoma in the left upper lobe (black arrows). The left hilar node (yellow arrows) is not pathologic by size criteria, nor does it exhibit a convex margin with the adjacent lung parenchyma. This is a normal node by CT, however, at histopathologic analysis the node was positive for malignant cells.

NOTE:  Click image to enlarge

  08290111234916 False Neg New Criteria Hila Nodes S 

 

Computed Tomography for the Staging Mediastinal Nodes N2/N3:

The prevalence of mediastinal nodal metastases increases with increasing T-stage of the primary lesion [40]. For patients with metastases to mediastinal lymph nodes confirmed by mediastinoscopy, it is generally agreed that these patients do not benefit from primary surgical intervention and that a multimodality treatment plan, including induction chemotherapy, radiation therapy, or both, followed by potential surgery is preferred [7,15,16]. When N2 disease is discovered only at thoracotomy, however, the resection rate is higher (60-90%) and 5-year survival improved [6,7,15,18].  

Despite widespread use for the staging of bronchogenic carcinoma, studies have demonstrated a wide variability in the sensitivity of CT for staging mediastinal nodes (See Table 1). Overall sensitivity and specificity for a transaxial short axis greater than 1.0 cm is 62% and 73%, respectively. Unfortunately, the positive predictive value of an abnormal CT scan is low.  In one review 37% of lymph nodes that measured 2-4 cm in short-axis were hyperplastic and contained no tumor at surgery [30]. Also, patients with obstructive pneumonitis frequently have hyperplastic mediastinal nodes that exceed 1-2 cm in size and the specificity of CT decreases in these cases [27,30]. The negative predictive value of CT is also low. Studies have shown that between 7% to 64% of patients with no enlarged nodes visible on CT scans may have positive N2 nodes at surgery [1,33]. When evaluation for N2/N3 disease is specifically requested, mediastinoscopy should probably replace CT, using the latter as a road map [28]. Interobserver agreement rates are good for determining T and N classification and stage in patients with lung cancer, however, agreement rates are lowest for assessment of mediastinal nodes [41].  

The purpose of CT in the evaluation of T1N0M0 lung cancer is to eliminate needless thoracotomies [42]. There is a wide range of prevalence of mediastinal adenopathy in patients with T1 lesions reported in the literature between 5% to 27% [30,35,40-44]. Nonetheless, the likelihood for mediastinal lymph node metastases in patients with T1/T2 squamous cell carcinoma without enlarged lymph nodes on CT is low [17]. In such cases, surgical resection may be anticipated, and pre-operative mediastinal exploration may not be necessary. In adenocarcinoma and large cell carcinoma, however, unexpected metastases were found in 18% of patients without enlarged lymph nodes on CT. Mediastinoscopy was thus advised in this group of patients.  
  

    Examples of False-Positive and False-Negative CT Scans for Mediastinal Adenopathy

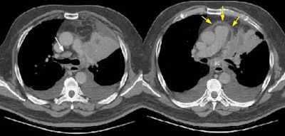
    Example 1: False-positive exam -- this patient had a right upper lobe squamous-cell carcinoma. The mass is adjacent to the superior vena cava. Abnormal mediastinal N2 (yellow arrow) nodes were identified by the staging CT exam. Contralateral N3 nodes (white arrows) were borderline abnormal by size criteria. The patient underwent medianstinoscopy and anterior mediastinotomy (Chamberlain procedure) for pre-operative staging -- both of which were negative for malignant cells. The patient had underlying interstitial lung disease which has been associated with the presence of reactive mediastinal adenopathy. At surgery the patient was found to have ipsilateral hilar adenopathy (N1) and parietal pleural invasion (T3 tumor) or a stage IIIA.

NOTE:  Click image to enlarge

  08290111233012 False Pos N2 N3 Nodes S 

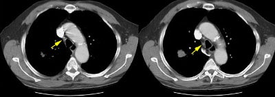
    Example 2: False-negative CT exam -- this patient had an adenocarcinoma in the right upper lobe that measured less than 3 cm in size (T1 lesion). The ipsilateral mediastinal nodes identified by staging CT were not pathologic by size criteria. The surgical team elected to proceed to thoracotomy without mediastinoscopy. At surgery, the small right paratracheal nodes which measured less than 1 cm where found to contain microscopic foci of tumor (N2 nodes). The patient was staged histopathologically as T1N2M0 (Stage IIIA).

NOTE:  Click image to enlarge

  08290111235133 False Neg N2 Nodes S 

 

Computed Tomography in T-staging:

When the tumor is completely surrounded by lung, CT is very accurate in determining correct T-staging [31]. Post-obstructive atelectasis or consolidation make delineation of the primary tumor more difficult. Bolus contrast enhancement can aid in separation of the tumor from the consolidated lung. Collapsed lung typically enhances to a greater degree than the central obstructing tumor, due to an increased blood flow per unit area of atelectatic lung caused by crowding of the pulmonary vessels [45].  

A very important contribution of CT in the staging of bronchogenic carinoma is the demonstration of findings which would proclude surgical resection. Certain findings have been demonstrated as being diagnostic of unresectable disease. These include encasement of the trachea or main pulmonary artery (or left or right pulmonary artery within 1 cm of its origin); encasement of the superior vena cava or aorta; invasion of a vertebral body; and metastatic disease to the contralateral lung or extrathoracic organs [40]. It should be emphasized that to classify a bronchogenic carcinoma as unresectable on the basis of CT findings, the findings must be unequivocal [40]. Up to 24% of patients that present with bronchogenic carcinoma may have unequivocal evidence of unresectability at CT staging -- thereby unnecessary surgery can be avoided in these patients [40]. In an additional 8% of patients, the extent of CT abnormalities coupled with their surgical risk, also result in their being classified as non-resectable [40].  

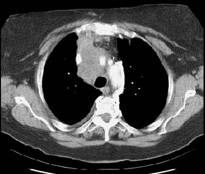
    Example: The case below demonstrates extensive mediastinal involvement by the tumor with encirclement of the right inominate artery and superior vena cava. Such findings are felt to be unequivocal evidence of non-resectability. A metastatic lesion is also evident in the right aspect of the sternum.

08290111235253 T4 Svc Encasement 

 

Pulmonary Fissures:

Neoplastic extension through the interlobar fissures does not represent a contraindication to surgery, although more extensive resection may be required. Such information can be very useful if a thoracoscopic resection has been planned. Thin collimation scans (1 mm) with a high spatial frequency algorithm allow improved visualization of the major fissure and it's relationship to an adjacent neoplasm. The minor fissure is difficult to assess on axial images, but helical acquisition with thin collimation and multiplanar reconstructions can aid in the evaluation of a tumor near the minor fissure [99,108]. 

Computed Tomography for Chest Wall, Mediastinal, or Vital Structure Invasion:

T3/T4 Chest wall invasion occurs in about 8% of patients with a contiguous pulmonary malignancy [46,47]. Chest wall invasion does not necessarily preclude surgical resection as long as mediastinal lymph node involvement is not present. However, the presence of chest wall invasion is important to document preoperatively as these patients will require en bloc chest wall resection surgery which is associated with a higher post-operative morbidity and mortality rate [26,46,48,49].  

CT findings which suggest chest wall invasion include [46,50,51]:

(In general, two or more of the findings should be present prior to interpretation of the exam as positive)  

1) Focal pleural thickening below the mass  
2) More than 3 cm of contact between the mass and the pleural surface  
3) An obtuse angle between the mass and the pleural surface  
4) Encroachment on or increased density in the underlying extra-pleural fat 
5) Obvious rib/bone destruction  
6) Asymmetry of the chest wall soft tissues adjacent to the tumor  
7) Mass invading the chest wall  

Unfortunately, the accuracy of CT in the detection of chest wall involvement has not been very good.  The individual criteria used to define potential chest wall involvement are either highly sensitive, but non-specific, or highly specific, but insensitive [46]. By itself, the clinical symptom of focal chest wall pain has been shown to have a sensitivity of 67% to 75% and a specificity of 85% to 94% [47,50]. Reported sensitivities for chest wall invasion as determined by CT findings are 38% to 87%, and specificities range from 40% to 59% [46,50,52]. Despite the general consensus that chest wall invasion is not well assessed by CT, it should be kept in mind that the above findings are clues to its presence and should not preclude surgery for potentially resectable disease. The findings merely alert the surgeon to the potential for an en-bloc chest wall resection. The use of helical CT with reconstruction images may improve the ability of CT to assess chest wall invasion [53,54].  
  

    Example 1: This is a case of squamous cell carcinoma that was found to be invading the chest wall at surgery. CT findings which suggested the diagnosis of chest wall invasion in the case include focal pleural thickening below the mass, more than 3 cm of contact between the mass and the pleural surface, an obtuse angle between the mass and the pleural surface, and encroachment on or increased density in the underlying extra-pleural fat.

08290111235314 Chest Wall Invasion 

    Example 2: In this patient with non-small cell lung cancer there is extension of the tumor between the ribs into the chest wall (yellow arrows). Disruption of the fat planes within the mediastinum (red arrows) is highly suggestive of mediastinal invasion as well. The lesion also abuts the main pulmonary artery.

08290111235457 T3 Chest Wall Invasion 

CT findings which suggest mediastinal invasion include [8,51,55]:

1) Greater than 3 cm of contact between the mass and the mediastinum  
2) Loss of the mediastinal fat plane between the mass and vital structures  
3) Greater than 90 degrees of contact between the mass and the aorta or pericardium (with the total aortic or cardiac circumference of 360 degrees)  
4) Mass effect or deformity of the mediastinal structure or vessel  
5) Pleural and/or pericardial thickening  

Both CT and MR have limitations in distinguishing contiguity from tumor extension into specific mediastinal structures [122]. Reported sensitivities for detecting mediastinal invasion by CT are 40% to 90%, and specificities are 20% to 90% [52,55].  
  

    Example 1: In this case of squamous cell carcinoma, the lesion had over 3 cm of contact with the mediastinum and there was focal loss of a clear fascial plane between the lesion and the aorta (left image). The lesion subtended an arch of less than 90 degrees of contact with the aorta (i.e., the lesion failed to meet criteria #3 above). At histopathologic analysis the lesion extended to the visceral pleura but did not involve the pleural surface or mediastinum.

NOTE:  Click image to enlarge

  08290111235584 No Aortic Invasion S 

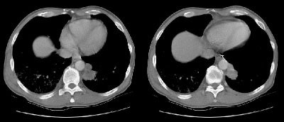
    Example 2: This patient with non-small cell lung cancer demonstrates many findings which are suspicious for mediastinal invasion. There is greater than 3 cm of contact between the mass and the mediastinum, loss of the mediastinal fat plane between the mass and the left pulmonary artery, deformity of the left pulmonary artery, and pericardial thickening (yellow arrows). The patient also demonstrates contralateral mediastinal adenopathy (N3 nodes -- white arrow), subcarinal adenopathy (SC), and bilateral pleural effusions.

NOTE:  Click image to enlarge

0829011123567 Pericardium S 

Other Methods to Determine Invasion

Iatrogenic pneumothorax: Iatrogenically created pneumothorax has been used to increase the accuracy of computed tomography for chest wall and mediastinal invasion. The presence of an air space between the mass and adjacent structures indicates that there is no invasion. The presence of benign pleural adhesions, however, can produce false-positive results. Tumors around the root of the pulmonary artery or vein may also be difficult to evaluate [52].  

For chest wall invasion, reported sensitivity of iatrogenic pneumothorax is 100%, specificity is 80% to 100%, and accuracy is 88% to 100% [51,52]. For mediastinal invasion sensitivity is 100%, specificity is 57%, and accuracy is 76% [52]. Potential complications include pneumothorax (in up to 9% of cases). Patients with markedly impaired pulmonary function may not be candidates for this procedure because they may not be able to clinically tolerate even a small pneumothorax. [51,52]  

Ultrasound: Sonography has also been used to assess for the presence of chest wall invasion. Findings which suggest invasion include disruption of the pleura, extension through the chest wall, and tumor fixation during respiration. Reported sensitivity was 100% (confidence interval 82-100%), specificity 98% (confidence interval 92-99%), and accuracy 98%. Limitations of the exam include acoustic shadowing from adjacent ribs or vertebral bodies which can obscure some lesions and lack of sensitivity for lesions in the lung apices due to the lack of significant respiratory excursion compared to the lung bases. [56]  
  

    Examples of iatrogenic pneumothorax

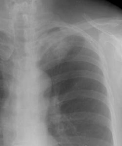
    Example 1: In this case the patient had a large left upper lobe adenocarcinoma which was abutting the pleural surface on CT (Click here to view the patients CT scan). During percutaneous biopsy of the lesion, the patient developed a pneumothorax (white arrows) and the lesion could be seen to fall away from the lung apex indicating that there was no chest wall invasion. Although not intentional, a post-procedure pneumothorax can sometimes provide useful information.

 

NOTE:  Click directly on either image below to enlarge.

08290111235796 Ptx And Lesion Moves Cxr S

08290111235861 Ptx And Lesion Moves S

    Example 2: This patient had a large peripheral squamous cell carcinoma that had a long area of contact with the chest wall on CT (Click here to view the patients CT scan). Following percutaneous biopsy of the mass the patient developed a large left pneumothorax. Although the left upper lobe collapsed, it did not completely fall away from the chest wall (blue arrow) increasing the concern for chest wall invasion in this case. At surgery, visceral pleural invasion was found, but there were only fibrous adhesions between the visceral pleura and the chest wall. There was no parietal pleura or chest wall invasion. Benign pleural adhesions are a cause of false-positive results when assessing for chest wall invasion with iatrogenic pneumothorax.

NOTE:  Click directly on either image below to enlarge.

08290111235947 Chest Wall Pre Ptx S

08290111240068 Chest Wall Post Ptx S

 

Invasion of other vital structures: 

Obliteration of the central pulmonary veins by the tumor, especially the upper pulmonary veins, is highly suggestive of intrapericardial tumor extension. Although this does not necessarily predict non-resectability, prior knowledge of this finding will aid the surgeon in pre-operative planning [105]. 

Synchronous lesions:

A higher prevalence of synchronous lesions in patients with bronchogenic carcinoma has been reported recently and is most likely related to advances in radiologic imaging. The lack of respiratory motion with helical CT and the ability to perform thin slice image reconstructions has no doubt enhanced our ability to locate small lesions that would have not previously been detected. Aggressive surgical management of patients with bronchogenic carcinoma that are found to have synchronous lesions has been advocated in an effort to improve patient survival [98]. More data and controlled clinical studies will be necessary prior to drawing firm conclusions. 

Extrathoracic Metastases in Bronchogenic Carcinoma: M1

Although heavily affected by local practice, radiologic evaluation of the patient with NSCLC should attempt to provide accurate determination of local disease and a search for distant metastases [28]. Extrathoracic metastases occur in up to 30% of patients presenting with bronchogenic carcinoma [57] and CT can provide important information regarding the presence of unsuspected extrathoracic metastases. Such information prevents unnecessary thoracotomy in patients who would not benefit from this procedure. Generally, the higher the T or N stage, the more likely the patient will be to have extrathoracic metastases. However, up to 25% of patients with normal sized intrathoracic lymph nodes on computed tomography can demonstrate extrathoracic metastases [19]. The risk for extrathoracic metastases is greatest in patients with adenocarcinoma or large cell carcinoma, and the likelihood of metastases in these patients does not necessary correlate with T or N stage [19,57]. Common sites of extrathoracic metastases include the brain, adrenal, bone, and liver [19,57]. Unfortunately, CT will also detect benign lesions which are not readily distinguishable from pathologic lesions [31], and some have questioned whether preoperative evaluation for the presence of metastatic disease in clinically asymptomatic patients affects overall survival [58].  

Adrenal 
Lung cancer has usually been identified as the most common malignancy to metastasize to the adrenal glands and it may be the only site of metastatic disease [109]. Adrenal lesions can be detected in between 2% to 10% of patients with bronchogenic carcinoma  [31,59], and more than 50% of these lesions will prove to be benign [59]. As a result, it has been stated that in patients with NSCLC an isolated adrenal mass is more likely benign than a metastasis [59]. The reported incidence of adrenal metastases in patients with bronchogenic carcinoma ranges from 2.4% to 7.5% [31,57,59]. Nonetheless, a majority of community hospitals in the United States (70%) routinely scan through the adrenal glands during CT staging of patients with bronchogenic carcinoma [60]. Adrenal masses are best characterized on non-contrast CT examinations- as a consequence, some authors recommend only non-contrast thoacic CT  continued through the adrenal glands [114] or a non-contrast scan of the adrenals prior to performing a contrast enhanced staging exam in patients with bronchogenic carcinoma [109]. 

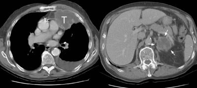
    Example 1: This patient with non-small-cell lung cancer had a large necrotic primary tumor (T) and a large left adrenal metastasis (white arrows).

NOTE:  Click image to enlarge

08290111240152 Adrenal Met S 

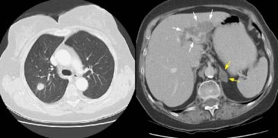
    Example 2: In this patient with a T1N0 adenocarcinoma of the right lung, the staging CT scan revealed a heterogeneously enhancing mass in the left lobe of the liver (white arrows) and a low density mass in the left adrenal (yellow arrows). The liver lesion was subsequently shown to be an hemangioma and the adrenal lesion an adenoma. CT commonly detects other lesions which do not represent metastases, but which require further evaluation.

NOTE:  Click image to enlarge

.0829011124024 Adrenal Adenoma S 

Bone 
Any bone pain or elevation of alkaline phosphatase should be evaluated [6,57]. In the absence of bone symptoms, pre-operative bone scinitgraphy is not useful. In the absence of symptoms, approximately 13% of scans are abnormal, but 94% of these are false-positive [6]. PET FDG imaging has been shown to have a higher sensitivity and specificity than bone scinitgraphy in the evaluation of bone metastases [120]. 
  

    Example 1: The case below is an interesting example of a patient that presented with back pain and lower extremity weakness following a fall. A large soft tissue mass can be seen destroying the T5 vertebral body (yellow arrows). This proved to be metastatic non-small cell lung cancer from a 2.5 cm lesion (T1 by stage criteria) in the left lower lung (black arrow). There was no evidence of pathologic hilar or mediastinal adenopathy at CT. This patient  is stage T1N0M1 (Stage IV).

08290111240381 Skip Met To Spine

    Example 2: This is an interesting case of a patient with non-small-cell lung cancer who complained of right shoulder pain. The bone scan demonstrates a bone lesion in the proximal right humerus (blue arrow) consistent with a metastasis. The scan also revealed linear uptake of tracer along the distal femurs and tibias bilaterally (black arrows). Uptake in the forearms was more irregular. A coned down plain film of the distal left femur demonstrated a solid periosteal reaction (white arrows). The findings are consistent with hypertrophic osteoarthropathy- a paraneoplastic condition seen in association with bronchogenic carcinoma.

NOTE:  Click directly on the image to enlarge.

 08290111240438 Hoa Bone Scan S 08290111240572 Hoa Plain Film S

Brain 
The brain is a common site of extrathoracic metastases [57,61]. The incidence of brain metastases in patients with bronchogenic carcinoma generally ranges from 10% to 13% [28,57], although higher and lower values have been reported [61,111]. Patients with adenocarcinoma or large cell carcinoma appear to be at an increased risk for cerebral metastases [28,57,61,62]. Preoperative CT of the brain has been advocated in patients with neurological symptoms and in patients with more advanced staged disease (stage III), adenocarcinoma, or large cell carcinoma regardless of the presence of symptoms [57,61]. It is important to note that between 11% to 21% of patients with brain metastases can be asymptomatic [57,61] and unsuspected brain metastases can occur in patients with potentially operable lung cancer (Stage I/II lesions) [110,111]. Pre-operative MRI is more sensitive for the detection of brain lesions, but this has not been shown to inpart any increased survivial benefit [110,111]. PET FDG imaging is less sensitive than conventional imaging modalities for the detection of brain metastases [120]. 
  

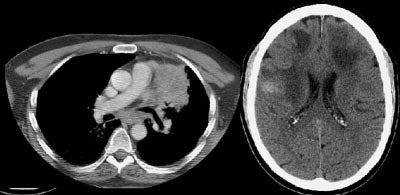
    Example of brain metastases: This patient with non-small-cell lung cancer presented with left vocal cord paralysis. He did not have any neurological complaints. A central mass in the left lung was obstructing the left upper lobe bronchus (left image -- also note N2 subcarinal adenopathy). A head CT was requested by the patient's health care provider as part of the evaluation for his vocal cord paralysis and demonstrated multiple brain metastases, one of which is likely hemorrhagic (right fronto-parietal cortex).

NOTE:  Click image to enlarge

.08290111240676 Brain Mets S 

Liver 
Routine scanning through the entire liver is controversial and not felt to be useful by some authors [114]. However, hepatic metastases are seen in up to 12% of patients with bronchogenic carcinoma [57] and up to 61% of patients with liver metastases do not have organ-specific indicators to suggest their presence [57]. Some authors recommend routine scanning of the liver in patients with bronchogenic carcinoma due to the relatively low reliability of clinical indicators to suggest the presence of hepatic metastases [57]. Unfortunately, hepatic imaging will also result in detection of a substantial number of benign hepatic lesions. In a study of 1454 patients, Jones et al detected small (sized 1.5 cm or less) hepatic lesions in 17% of patients. Even in patients with an underlying malignancy (which formed 82% of the patients in the study group) between 37% to 51% of the lesions were benign [63]. The potential to delay patient management, plus the additional cost of further evaluation of detected lesions, must be weighed against the significant change in patient management should hepatic metastatic disease be identified. In a survey of community hospitals in the United States, only 30% of centers performed imaging through the entire liver as part of the staging evaluation of patients with bronchogenic carcinoma [60].  
  

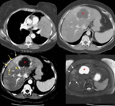
    Example of Liver Metastases:

    The patient below had an adenocarcinoma in the left lung that was obstructing the left upper lobe bronchus (left image upper row). The staging CT scan demonstrated a large liver cyst (*) and some underlying hepatic heterogeneity best appreciated on liver windows (yellow arrows). The patient had slightly elevated liver function tests, and the findings were felt to be most likely related to areas of sparing in a patient with some hepatic fatty infiltration. Because the possibility of metastatic disease could not be excluded, an MRI of the liver was performed. The heavily T2-weighed image shown (right image bottom row) revealed multiple liver metastases, many of which were not apparent on the contrast-enhanced CT scan (white arrows). MR imaging has been shown to be more sensitive for detecting liver metastases when compared to CT.

NOTE:  Click image to enlarge

.08290111240870 Liver Mets S 

 

REFERENCES

 

Page 1 of 65
Next Page