
The image-sharing app Figure 1 has taken healthcare by storm since it launched in 2013, but the app's emphasis on mobile use didn't totally mesh with radiology's roots in computer workstations. New enhancements, however, may make Figure 1 even more useful for radiologists during their daily work.
Figure 1 allows physicians to upload deidentified images and photos of cases and get feedback and opinions from other users. Because cases are constantly uploaded, users can learn on an ongoing basis.

"The most effective way to learn is by seeing cases and by creating a network that permits people to view literally thousands of cases at a time," said Chief Medical Officer Dr. Joshua Landy, a co-founder of Figure 1. "We're taking steps toward a new feature for medical education."
Reviewing cases
The idea behind Figure 1 had its genesis in 2012, when Landy, a critical care physician and internist in Toronto, was invited to be a visiting scholar at Stanford University. While there, he explored the use of online and multimedia approaches to healthcare education, including researching the resources young physicians were using on their mobile devices and how they were using them. He found that young physicians often texted and emailed each other regarding patient cases.
After returning home to Toronto, Landy and some friends came up with the idea of creating a mobile app that would enable physicians to take pictures of cases and share them for discussion with colleagues. Other co-founders of Figure 1 included Dr. Gregory Levey and Richard Penner, a mobile developer who had recently left e-book reader company Kobo.

"We talked about the potential of creating this network of healthcare connections that can go with you wherever you are on your phone, that you can add to or learn from at any moment during your day," Landy told AuntMinnie.com.
Figure 1 launched in January 2013, and the first version of the mobile app became available in the iTunes App Store in May 2013. An Android app followed in February 2014.
The app has struck a chord since its launch: More than 500,000 users from more than 190 countries participate, Landy said.
"The value is in that network of healthcare professionals all working together and having them all thinking about and talking about cases that come through, and creating what may end up being one of the largest visual indexes of things in medicine," he said. "It's basically an almanac of visual findings."
Privacy and security features are crucial components of Figure 1. No personal health information is stored on the system, Landy said.
"All of the identifying details of the patient -- the things that make healthcare data sensitive -- are removed," he said. "The images are essentially deidentified by the user on their device before they are uploaded."
A space-blocking feature allows users to delete any section of a scan that includes any identifying information. Figure 1's privacy moderation team then reviews all images before they are publicly available, Landy said. A patient consent form is also available for those who need it to meet local requirements.
Radiology's participation
Landy noted that radiologists were probably the only group of Figure 1 users who didn't want to use their phones to capture images, and that radiologists have helped the company develop a lot of the features that are now a regular part of Figure 1's service. For example, the recently relaunched Web version of Figure 1 was built for radiologists and other physicians who use desktop computers.
In addition, Landy said that one of his favorite features on Figure 1's mobile app -- one that only applies to radiologists -- allows users to scroll through a stack of images by sliding a finger up and down the screen.
"You can now upload a full stack of CT or MR images on to Figure 1, and scroll through them like you would with a mouse [on a PACS workstation], but using your finger on a screen," he said.
Landy noted that there are quite a few well-known radiologists on Figure 1. Users can "page" them to request their opinion on an uploaded case.

"Of what we call our 'famous' users, I would probably say that three-quarters of those are radiologists," he said. "I think there's something very natural about teaching in this environment ... and [it] seems to come very naturally to radiologists."
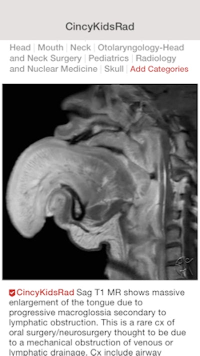
Groups can also set up accounts on Figure 1; one of the most popular radiology groups is run by the department of radiology and medical imaging at Cincinnati Children's Hospital and provides pediatric radiology education.
New Web platform
Figure 1 recently rebuilt its Web platform with the goal of achieving feature parity with the mobile apps, Landy said. While a few features have yet to be incorporated, most users would not notice any difference now between the Web platform and the mobile apps, he added.
For physicians like radiologists who work at desks all day, it was important to build a fully functional Web platform to make the experience better for those users, he said.
Based on feedback recently received from a radiologist, Figure 1 is looking to incorporate updates to improve usability in the type of lighting environments that radiologists typically work in. In other radiology-oriented developments, Figure 1 also plans to reorganize specialties.
"Currently, on our platform, all radiologists and nuclear medicine physicians are together, and we're going to be splitting up those specialties so that people can self-identify," he said.
The company is also working on rolling out new versions of the apps around the world in local languages.
Figure 1 is free for users, and the company is still working on developing its business model.
"We're venture-capital-backed, and so right now we're lucky to be in a position where we can focus almost entirely on growing the community and building our product so that it's most useful for everybody," Landy said. "We haven't had to select what our path toward revenue is going to be, although we'll probably be doing some experiments in 2016 to figure out what roads we want to take."
The company plans to look for partnerships this year to help Figure 1 build content or add value to the network, he said.