
MR technology provider Invivo has introduced DynaSuite Neuro, an MR neuro processing workstation.
![]() |
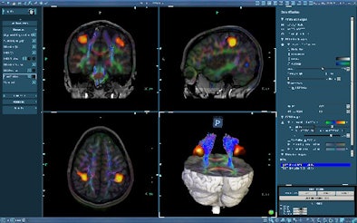
| Example of SmartFusion review. Image courtesy of Invivo. |
DynaSuite Neuro is capable of integrating anatomical, diffusion, tensor imaging, perfusion, functional MRI (fMRI), and 3D vessels with basic analysis functionality to produce a dynamic, 3D model with its SmartFusion review tool, according to Invivo.
It can be combined with fMRI acquisition systems by Invivo as well as other third-party offerings, according to the Orlando, FL-based firm.
DynaSuite can accept data from major MR scanner vendors. It also is DICOM compatible and sends data to PACS and computer-assisted surgery systems, Invivo said.
The workstation has received U.S. Food and Drug Administration (FDA) 510(k) clearance.
Related Reading
Invivo to show enhanced monitor at RSNA, November 3, 2008
Invivo aids in conjoined twin procedure, January 23, 2008
Road to RSNA, CAD, Invivo, November 1, 2007
Road to RSNA, MRI, Invivo, October 29, 2007
Road to RSNA, Women's Imaging, Invivo, October 26, 2007
Copyright © 2008 AuntMinnie.com




















