Clinical News: Page 3278
The pearls and pitfalls of online scheduling
January 6, 2004
Philips nets U.S. installs for 0.6T MR system
January 5, 2004
AuntMinnie.com PACS Insider
January 5, 2004
Array adds Fuji to distributor ranks
January 5, 2004
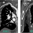
Sixteen-slice CTA scanning makes everything better
January 4, 2004
A year-end thank you from AuntMinnie.com
December 30, 2003


