
Doppler ultrasound findings indicate several common placental differences in pregnant women who test positive for SARS-CoV-2, the coronavirus that causes COVID-19, according to findings published March 15 in AJOG Global Reports.
Researchers led by Eva María Soto-Sánchez, PhD, from Hospital Universitario Infanta Leonor in Madrid found significantly higher placental thickness, placental venous lake frequency, and umbilical vein flow values in pregnant women with the coronavirus.
"An improved understanding of how the placenta responds to viral infections will lay the foundation for developing therapeutics for emergent viruses in the future to minimize the harms of infection leading to fetal demise or poor long-term health outcomes," the Soto-Sánchez team wrote.
While previous research has explored the impact of SARS-CoV-2 on pregnancy outcomes and placental health, the researchers noted that few imaging studies have been performed in this area. They also noted that no significant differences in ultrasound and Doppler findings have been documented between pregnant women who are SARS-CoV-2 positive and negative.
Soto-Sánchez and colleagues wanted to describe placental ultrasound findings and fetal hemodynamic consequences, the latter via umbilical venous Doppler, among pregnant women who tested positive for SARS-CoV-2 at the time of obstetrical ultrasound evaluation during the pandemic.
They looked at data from 57 pregnant women who tested positive at the time of or one month prior to the ultrasound scan and compared them to a healthy control group of 110 pregnant women.
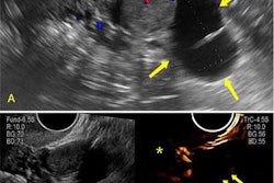
The researchers found higher placental thickness and a higher frequency of placental lakes in the SARS-CoV-2. Additionally, they found higher mean velocity umbilical vein and umbilical vein blood flow in this group than in the control group.
| Placental findings among pregnant women with SARS-CoV-2, healthy control | |||
| Measure | Healthy controls | Pregnant women with SARS-CoV-2 | p-value |
| Mean placental thickness | 33.82 | 53.82 mm | < 0.001 |
| Frequency of more than four placental lakes | 6.36% | 50.91% | < 0.001 |
| Mean velocity umbilical vein | 10.81 cm/s | 12.45 cm/s | 0.001 |
| Mean umbilical vein blood flow | 305.5 ml/min | 389.9 ml/min | 0.05 |
However, the team did not find significant differences in either group when it came to estimated fetal weight in either the second or third trimesters. They also did not see cases of intrauterine growth restriction.
The study authors also reported that they didn't find neonatal growth restriction or fetal death in any case, although this analysis was not an aim of the study.
"However, it would be interesting to study perinatal outcome variables and their correlation with the placental thickness or venous flow," they added.



















