Dear Ultrasound Insider,
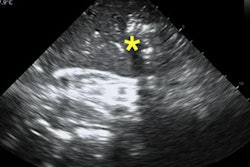
Knowing the right type of treatment for cancer patients can be difficult, but a new image processing software application for contrast-enhanced ultrasound (CEUS) scans hopes to make that decision a little easier for patients with a common form of liver cancer.
Researchers created a custom program that enhances the visualization of liver tumor blood vessels on CEUS scans. A model using features from the processed images accurately predicted which patients with hepatocellular carcinoma responded to one type of chemoembolization treatment. If validated, the software and model could help personalize cancer care. Read more in our Insider Exclusive.
Also new in the Ultrasound Community, a team of inventive researchers created a 3D-printed device to measure pressure during handheld ultrasound scans. The prototype fits around an ultrasound transducer like a shell and could produce more accurate shear-wave elastography measurements. It's not the first device of its kind, but it's one of the few that will work for breast imaging.
The Ultrasound Community continues to be filled with content demonstrating ultrasound's strength and versatility for COVID-19 imaging. In one review, researchers concluded that lung ultrasound is a strong first-line imaging modality for diagnosing and tracking COVID-19. They came to that conclusion after parsing the findings from more than a dozen case reports and studies from around the world.
Other studies show that ultrasound's benefits for COVID-19 extend beyond lung imaging. The authors of two new research letters found that echocardiography is useful for visualizing COVID-19-related cardiac injury and dysfunction, and another study indicated that a more invasive form of ultrasound can provide physicians with crucial information for critically ill patients. Doctors in Brazil even used ultrasound to perform autopsies on patients with fatal cases of COVID-19.
As the COVID-19 pandemic continues, I hope you remain safe and in good spirits. Caring for patients during an infectious disease pandemic can take an emotional toll on all types of healthcare workers, as ultrasound providers in Singapore learned during the severe acute respiratory syndrome (SARS) outbreak.
I am told signs of gratitude can help, so I want to end with a simple thank you.
I am grateful for you and the work that you do.



















