
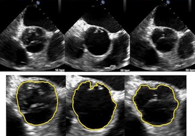
Chinese researchers said they have developed a software algorithm that can automatically track a region of interest as it moves during an ultrasound study.
The algorithm uses a mathematically based framework that can efficiently track moving boundaries on ultrasound videos, making it suitable for real-time clinical applications, according to the researchers from Shanghai Jiao Tong University, Peking University, and the National University of Singapore. In testing on two ultrasound video datasets, the technique's segmentation quality and computational time compared favorably with other ultrasound segmentation approaches.
First author Jiulong Liu, a PhD student in the department of mathematics at Shanghai Jiao Tong University, and colleagues shared the findings in a paper published online April 7 in the SIAM Journal on Imaging Sciences.

The group developed the software algorithm to address issues commonly encountered with segmentation of ultrasound studies. While segmentation techniques can help identify boundaries and regions of interest that facilitate image interpretation, efficient segmentation of ultrasound videos is often complicated by low contrast, shadow effects, and complex "noise" statistics (i.e., unexplained variations). Real-time applications such as ultrasound-guided surgery also require efficient algorithms, according to the researchers.
In contrast with other ultrasound segmentation techniques, the group's model relies on variational methods, which are commonly used for motion and edge detection due to their modeling flexibility, the researchers noted. In addition, the technique incorporates wavelet frames, which are well-suited for efficient segmentation of low-quality footage such as ultrasound videos.
In the future, the model could be applied to locate multiple regions of interest simultaneously or be extended to other imaging modalities, according to the group. The team is also working to incorporate more geometric and prior information into the image segmentation method in order to improve its speed, efficiency, and performance.