Dear MRI Insider,
This issue of the MRI Insider has a distinctive cardiology theme. First, we offer you an exclusive first look at a study from the University of Maryland. Researchers there found that contrast-enhanced MRI can help accurately differentiate between viable and nonviable myocardium in patients with implantable cardioverter-defibrillator devices prior to undergoing ventricular tachycardia ablations.
Results from the study, which was presented last week at the American Society of Nuclear Cardiology annual meeting, also suggest that the additional information gathered from contrast-enhanced MR images should help reduce procedure time and guide patient therapy.
Read more about this research in our Insider Exclusive, an article you have access to before the rest of the AuntMinnie.com membership.
In another top feature, researchers from the University of Western Ontario concluded that combining myocardial scar and coronary images acquired with 3-tesla MRI into fused volumetric images can aid preprocedural planning for cardiac resynchronization therapy or coronary artery revascularization.
And from the October issue of the American Journal of Roentgenology comes a study from the U.K., where researchers found that with the help of certain imaging sequences, MRI can be sufficient for the routine surveillance of certain great vessel stents commonly used to treat congenital heart defects in children and young adults.
Meanwhile, associate editor Kate Madden Yee reports on how a computer-aided detection (CAD) application that analyzes both full-field digital mammography (FFDM) and dynamic contrast-enhanced MRI images distinguishes between malignant and benign lesions better than traditional single-modality CAD, according to a University of Chicago study.
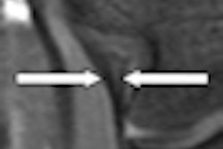
In addition, Swiss researchers have found that by using certain pulse sequences, conventional 1.5-tesla MRI can visualize elbow ligaments that previously were not consistently visible in asymptomatic subjects, helping to diagnose patients with elbow instability.
Be sure to stay in touch with the MRI Digital Community on a daily basis to remain up-to-date on all the latest news and research developments.



.fFmgij6Hin.png?auto=compress%2Cformat&fit=crop&h=100&q=70&w=100)

.fFmgij6Hin.png?auto=compress%2Cformat&fit=crop&h=167&q=70&w=250)











