Molecular Imaging: Page 184
International Isotopes lands field services contracts
August 8, 2017
Report: Siemens preps security fix for molecular units
August 7, 2017
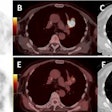
New PET tracer could work well for prostate cancer
August 6, 2017
Shine breaks ground on isotope production facility
August 6, 2017
Siemens issues security advisory for molecular products
August 3, 2017
SNMMI posts use criteria for hepatobiliary scintigraphy
August 3, 2017
Cardinal Health profits fall in fiscal 2017
August 1, 2017
SPECT/CT tracer shows promise for AAA risk evaluation
August 1, 2017





