PET scans show that individuals with mothers with a history of memory impairment had higher levels of brain-amyloid plaque associated with Alzheimer’s disease (AD), according to a study published June 17 in JAMA Neurology.
The finding supports mounting evidence of a link between family history and a higher risk for the disease, noted lead author Mabel Seto, PhD, of Massachusetts General Hospital in Boston, and colleagues.
“Our results suggest preferential maternal inheritance of AD starting from the preclinical stage, a finding which has broad clinical and scientific implications,” the group wrote.
Research has established that a family history of Alzheimer’s disease can increase the risk of developing dementia by approximately two to 15 times, the authors explained. Some studies have suggested that a maternal or paternal history of memory impairment is associated with brain amyloid plaque, a hallmark of the disease, they added.
Yes, these studies had limited sample sizes and lacked statistical power to fully determine the extent of the connection, the authors noted.
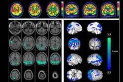
The group researched findings from 4,413 cognitively unimpaired older individuals screened for Alzheimer’s disease in a previous clinical trial conducted across 67 sites in the U.S., Australia, Canada, and Japan. Data included participant-reported parental history and baseline F-18 florbetapir (Amyvid) PET scans.
Participant-reported parental history included maternal history and paternal history of dementia or significant memory impairment, parental age at onset of memory impairment, and whether there was a clinical diagnosis of Alzheimer’s disease.
According to the analysis, beta-amyloid levels on PET were elevated in individuals with a history of memory impairment in both parents (n = 455) and in those with only maternal history (n = 1,772) compared with those with only paternal history (n = 632) or no family history (n = 1,554).
Moreover, a paternal history of early-onset memory impairment (age < 65) but not late-onset was associated with elevated beta amyloid on PET compared with individuals with no paternal history, whereas a maternal history was associated with elevated beta amyloid in both early-onset and late-onset groups.
“Maternal history (at any age) and paternal history of early-onset memory impairment were associated with beta-amyloid burden among asymptomatic older individuals,” the group wrote.
The authors noted limitations, namely that they were unable to make conclusions on participant Alzheimer’s disease trajectory over time, which may be more useful in estimating individuals who will eventually develop cognitive impairment, and ultimately, Alzheimer’s disease dementia.
Nonetheless, sex-specific parental history may help inform clinicians on the likelihood of beta-amyloid burden in offspring and help identify high-risk individuals at the earliest stages of the disease, the group suggested.
“Future studies with longitudinal data will be necessary for a fuller understanding of the potential role of parental history of dementia in offspring AD risk,” the authors concluded.
The full study is available here.




















