Monday, November 28 | 11:00 a.m.-11:10 a.m. | SSC10-04 | Room S505AB
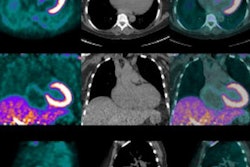
When faced with a gastrointestinal or genitourinary imaging emergency, adding SPECT/CT to the standard imaging options can help identify the source of the problem and lead to an appropriate intervention, according to this study."Traditional nuclear medicine studies, such as bleeding and hepatobiliary scans, make use of dynamic and planar images to come to a diagnosis," explained Dr. Elham Safaie from Stony Book University. "Sometimes these types of imaging modalities are not sufficient at arriving to a final conclusion. The use of SPECT/CT has superior spatial resolution and accurate localization with the use of the CT component. This would lead to a definite diagnosis in complex cases and will lead to better patient management as a result."
In this retrospective study, Safaie and colleagues reviewed 23 consecutive abdominal emergency studies in which patients underwent initial dynamic imaging followed by SPECT/CT between July 2013 and March 2016. Because all standard dynamic studies were inconclusive, SPECT/CT was performed as a follow-up.
SPECT/CT accurately identified the regional anatomy and source of gastrointestinal bleeding in all six cases, which involved two large bowels and four small bowels. In one case, the patient had both small bowel and peritoneal bleeding at surgery.
In addition, among 14 hepatobiliary studies, SPECT/CT localized nine biliary leaks, confirmed biliary atresia in three patients, and excluded cholecystitis for two people. All of this was accomplished with an average added scan time of 20 to 30 minutes.
"Our findings demonstrated that adding SPECT/CT for standard gastrointestinal and urinary dynamic imaging supplements conventional imaging and is equivocal in patients for anatomic localization and subsequent intervention," Safaie told AuntMinnie.com. "SPECT/CT is effective because it makes use of the CT modality that is not usually used for many general nuclear medicine studies. It also allows for anatomical correlation of the given pathologies."




















