
The hippocampus complex -- long thought to be involved only in storing memories -- actually plays a role in the efficiency of memory retrieval, Canadian researchers reported at the 2003 Rotman Research Institute Conference in Toronto.
Using PET, Christine Whatmough, Ph.D., and colleagues from McGill University in Montreal showed that an intact hippocampus complex (HC) correlates positively with speed and efficiency on memory tasks.
"This is about semantic memory -- our memory that isn’t associated to a time or place," Whatmough told AuntMinnie.com. "So, for instance, we know that cats purr or what a dentist does."
Several studies have shown that people with a damaged hippocampus can still retain their semantic memory, while damage elsewhere can destroy those memories, Whatmough said.
But her group found that patients with severe atrophy of the anterior and inferior lateral temporal lobes, yet relatively intact hippocampi, can have reaction times on cognitive tasks within the normal range of the healthy elderly. On the other hand, Alzheimer’s patients, who have a higher ratio of hippocampal to cortical atrophy, have very long reaction times.
Whatmough presented PET scans of two patients -- one suffering from Alzheimer’s and the other, dubbed CWi, with severe atrophy of the temporal lobe and consequent semantic dementia, but relatively preserved HC.
"When I looked at his (CWi’s) reaction times, I found that on many tasks that we would call semantic, he was much faster" than the Alzheimer’s patient, even though both were equally accurate, Whatmough said. "This suggests that somehow the hippocampus was helping him perform these tasks."
To obtain more information, the group conducted retrospective analyses of two previous H215O PET studies of elderly subjects. In the first experiment, 14 normal patients (mean age 72.9) were asked to name line drawings; in the second, 15 normal subjects (mean age 74.3) were asked to judge the closeness in meaning of word pairs. PET scans were obtained on an ECAT EXACT HR+ scanner (Siemens Medical Solutions, Hoffman Estates, IL).
Accuracy was measured in the first task, and reaction times in the second. The analysis showed that normalized cerebral blood flow (CBF) to the hippocampus complex correlated positively with better performance on both tasks. "The more accurate they were, the greater the blood flow," Whatmough said.
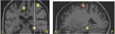
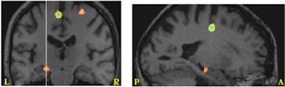
![]() |
Reaction times on a word-meaning judgment task decreased with increased regional cerebral blood flow to the right parahippocampal gyrus (below) and the left hippocampus (above). Images courtesy of Christine Whatmough, Ph.D.
![]() |
"Eventually, this might help us understand some of the slowing that we see in cognitive tasks in dementia," she said. For example, the slowness demonstrated by Alzheimer’s patients on cognitive tasks might be a function of hippocampal damage, rather than generalized atrophy.
In addition to correlating with the accuracy of responses, the regional CBF showed clear lateralization -- right for picture-naming and left for word-meaning judgments, according to neurologist Dr. Howard Chertkow, another member of the research team.
Chertkow added that the study challenges conventional wisdom on memory systems, which says that different brain structures play separate roles.
"This is showing that that might be true in a crude fashion," he said, "but there are subtle ways in which, when they are carrying out these semantic tasks, people are using the hippocampus structures, impacting on how quickly and how well they’re able to carry out these tasks."
By Michael SmithAuntMinnie.com contributing writer
April 16, 2003
Related Reading
fMRI reveals secrets of better memory, January 13, 2003
FDG-PET spies early decline in forgetful folks, October 22, 2002
Women, men use different parts of brain to remember, July 24, 2002
Copyright © 2003 AuntMinnie.com






















