
In this time of holiday celebration, seasonal ornaments and decorations can bring joy and wonderment to a child. From a toddler's perspective, they may even seem good enough to eat. So while working on Christmas Eve, if you see a sleigh in the x-ray of a young patient, it's not Santa making a surprise visit to your radiology reading room.
Emergency physicians from Children's Hospital Boston issued a warning about injuries related to holiday ornaments in a study published in the December issue of Pediatric Emergency Care (2009, Vol. 25:12, pp. 819-822).
Researchers searched the hospital's electronic medical records and performed manual chart reviews to identify 76 patients admitted to the emergency department for holiday ornament-related injuries over the past 13 years. The median age of the children was 2 years, with a range of 7 months to 19 years. They were almost equally divided by sex, with boys representing 55.3%.
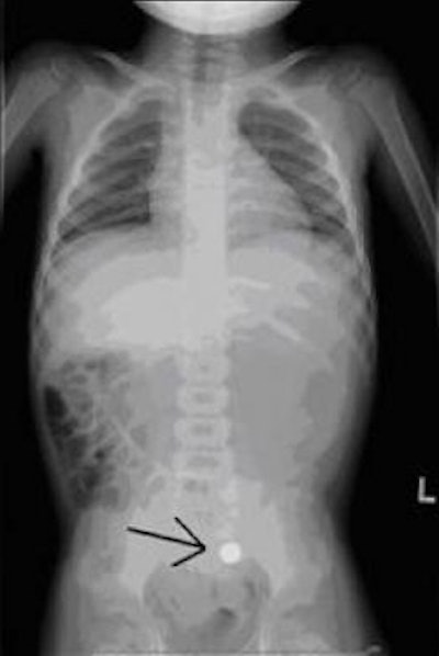
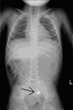
![]() |
| X-ray of a 2-year-old male after swallowing a battery from a Christmas ornament. Image shows the battery (indicated by arrow) has moved into the colon. Image courtesy of Children's Hospital Boston. |
Eighty-six percent of the patients had diagnostic imaging procedures, the majority of which were x-rays (82.8%). Two patients had CT examinations. Thirty-one patients had more than one diagnostic imaging procedure, according to lead author Dr. Amir Kimia, a pediatric emergency medicine specialist.
"Most injuries were minor, yet some patients required significant use of a resource such as imaging, and consults with subspecialty services," the authors wrote.
Injuries included bleeding from the mouth, gastrointestinal bleeding, lacerations, eye injuries, and minor injuries from electrocution. Five patients each required the services of a general surgeon and a plastic surgeon. Two patients each required the services of a gastroenterologist and an ophthalmologist.
The number of children admitted to Children's Hospital Boston ranged between two and eight cases annually since 1995.
The study would not have been possible or cost-effective to perform without electronic records, as Children's Hospital Boston admits approximately 50,000 children to its emergency department each year. Keyword terms such as "holiday," "Christmas," "ornaments," and "glass" identified the files of 844 patients out of 681,592 emergency department visits. Manual chart review reduced this to 76 patients.
Parents might not be cognizant of ornament ingestion, the authors said. They referenced a case in which a 2-year-old boy had swallowed a Christmas star ornament, which lodged in his larynx. This was not identified until 15 months later by Dr. Jenny Philip of the ear, nose, and throat department at Princess Margaret Children's Hospital in Perth, Australia.
By Cynthia E. Keen
AuntMinnie.com staff writer
December 22, 2009
Related Reading
Emergency rooms struggle to find wayward can tabs, December 1, 2009
Copyright © 2009 AuntMinnie.com



















