
Today's CT contrast injectors are joining the connectivity revolution. The most advanced power injectors can link contrast information to radiology reports, scanners, and PACS. On the visualization side, they are improving image data by micromanaging contrast flow rates to lengthen peak enhancement periods.
Finally, scans can be made safer with injectors that detect contrast extravasation, and easier because automated functions performed in the background leave technologists and radiologists more time for patient interaction.
The devices can handle biphasic and multiphasic injections, and, of course, the dual-chamber models can perform saline flushing, saving contrast and reducing risks further, according to Dr. Dominik Fleischmann, associate professor of radiology at Stanford University in California. Add "network-accessible injection data logs and the exciting possibility to digitally connect scanners and power injectors," and the result is impressive functionality, he said at the 2006 International Symposium on Multidetector-Row CT in San Francisco.
Fleischmann cautioned that his views were subjective, and limited to the two devices he happens to have worked with at Stanford, including the Stellant CT Power Injector (Medrad, Indianola, PA) and Empower CTA (E-Z-EM, Lake Success, NY).
Benefiting from biphasic
Biphasic or multiphasic injection capabilities are standard on most power injectors today. They can modulate contrast flow during the course of injection. The main utility is aortic enhancement, which cannot be achieved with a uniphasic injection, Fleischmann said.
"If you use first a high-injection flow rate for the first five to six seconds like a surge phase to get the contrast up at the beginning, then you continue with a lower flow rate, you will get a plateau-like enhancement," he said. For injection durations 30 seconds and longer, biphasic injection produces much more homogeneous opacification over time.
![]() |
| Biphasic contrast injection offers more even enhancement of the coronary arteries. Images courtesy of Dr. Dominik Fleishchmann. |
But biphasic injections don't produce the best possible enhancement curves. Abrupt chances in contrast flow from biphasic injections can be plotted on a distinctly unflat "camelback-shaped curve," Fleischmann said. Multiphasic injection is the way to achieve a longer, smoother plateau, he said.
![]() |
| Multiphasic injection offers a longer, more even enhancement than uniphasic or biphasic injection in CT angiography. Image courtesy of Dr. Dominik Fleischmann from data in Bae et al (Radiology, 2000;216:3, pp. 872-880). |
"The most elegant solution to get homogenous opacification ... is by changing the injection flow rate in a decelerating fashion following exponential PK function" to produce uniform arterial enhancement over time, he said. But the benefits of biphasic or multiphasic injections are limited to longer scans. For scan times shorter than 20 seconds, uniphasic injections are just as good.
"We still use biphasic injections clinically with a 64-channel scanner for lower-extremity (CT angiographies) but also for gated chest (acquisitions) combined with abdomen/pelvis CTs where acquisition and scan times are fairly long," Fleischmann said.
Contrast extravasation detection
An occasional negative consequence of power injector use is the extravasation of contrast into the subcutaneous tissues, which can be more severe when high-osmolality contrast agents are used. Tissue injuries, in particular tissue necrosis and compartment syndrome, can occur when injecting large volumes of contrast material, and patients who are elderly or unconscious are at greater risk for extravasation episodes, Fleischmann said.
One vendor, E-Z-EM, offers a solution with its Empower injector line, which immediately shuts off the injector when it detects extravasation. The feature works by measuring changes in electrical impedance in the skin at the injection site, interrupting the injection when it detects extravasation of 10 ccs or more, Fleischmann explained.
"We have learned it is really very sensitive detection," he said. "I would say it would detect almost all extravasations, however, at the cost of some false positives that interrupt injections that would otherwise probably be OK. So our practice has been that it's now at the discretion of the IV nurse if she wants to use it or no longer use it," he said, adding that 50% of their contrast medium injections are now conducted with extravasation detection.
Double-barrel tricks
Certainly double-barrel injectors aren't a new feature; they've been around for years, along with the practice of filling the second barrel with physiologic saline in order to "push" contrast material from the arms to the target site. The practice can save approximately 15% of the total contrast that would otherwise remain in the arm vessels, though the amount can vary substantially.
Saline, of course, "doesn't necessarily save you 15% or 25% of the contrast; it depends on the total amount of contrast you use," Fleischmann said. "If you use 150 ccs of contrast, then the 15 ccs you save from injecting arm veins won't compute as much if you use a small amount like 60 ccs total contrast. Then the saline flushing is more important because it is a greater percentage than 15%."
Another misconception lies in thinking that contrast can be pushed further into the circulatory system by means of a saline flush. "Let me assure you that once contrast medium is in circulation, it doesn't really require a lot of help from our side to be pushed down the vessel tree," he said.
What saline can do is ensure a longer, later enhancement plateau and greater peak enhancement, Fleischmann said, though it has a far greater effect when contrast volumes are small. Another benefit of saline flushing is a reduction in perivenous artifacts.
Injecting saline simultaneously with the contrast media allows the radiologist to modulate the iodine concentration while maintaining a constant injection rate, which can be useful for imaging the heart.
With saline, for example, "you can completely clear the right ventricle from contrast media, which improves the view of the right coronary artery," Fleischmann said. "One downside is if you have no contrast at all in the right ventricle, you cannot see the intraventricular septum of the heart, and if you can't see it, you are very limited in evaluating functional studies."
For this reason it helps to flush the venous system with a mixed solution rather than pure saline -- for example, 15% contrast, 85% saline -- which allows delineation of the septum, he said.
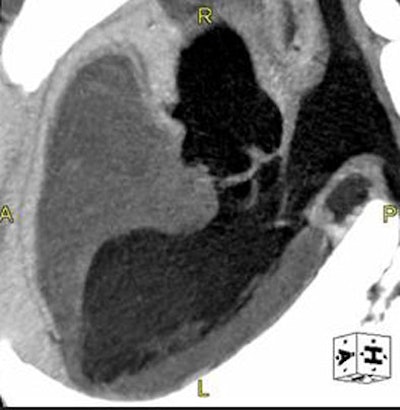
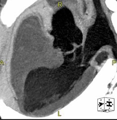
![]() |
| By replacing contrast that would otherwise be wasted in the arm veins, saline flushing after contrast administration has several advantages including the saving of contrast media (approximately 15 mL) and a reduction in perivenous artifacts. Pure saline can be a disadvantage in cardiac CT functional studies, however, in which a complete lack of contrast media in the right ventricle (above) can render the intraventricular septum invisible. One possible solution is a 15% contrast media 85% saline mixture, which renders the intraventricular septum visible and solves the problem. Image courtesy of Dr. Dominik Fleischmann. . |
More integration
The network-accessible injection data log is an important advance that was introduced fairly recently, Fleischmann said. Sold as a CT injector data management system (IRiSCT, E-Z-EM), it stores a wealth of procedural data such as contrast volumes, flow rates, and pressure data in the computer inside the injector. The information is accessible to network users.
IRiSCT then exports the data to the Microsoft Office Suite for analysis and review. According to E-Z-EM, the system can help identify productivity bottlenecks and other sources of inefficiency by comparing operations room to room.
![]() |
| Designed as a radiology management tool, the network-accessible injection data log (IRiSCT, E-Z-EM) stores injection data including volumes, flow-rates, pressure, etc. in the power injector's computer. It can also be used as a research and feedback tool, particularly for injection protocol optimization. Image courtesy of Dr. Dominik Fleischmann. |
According to Fleischmann, the system displays injections on a monthly basis, the number of injections, flow rates, contrast used, pressure limits, etc. "You can do it on a daily basis and on a per-injection basis so you always have a nice way to monitor what was injected, and when you read out the study, you can go back and check what was really used," he said.
Originally designed for radiology management, the product makes an excellent research and feedback tool for optimizing protocol design, he said.
Another new feature (Stellant iFLOW and CARE Contrast CT), pioneered by Medrad and Siemens Medical Solutions of Malvern, PA, provides a digital link between the power injector and the CT scanner for integrated scanning and contrast injection that is the wave of the future, Fleischmann said.
"We have a system in place that allows you to initiate the power injector and scanner using a single button -- so it improves synchronization of the bolus timing and it really helps in accuracy of time-sensitive issues like contrast timing in CT angiography," Fleischmann said.
The technology behind one-button scanning and contrast injection is more important than it might seem. The system represents a workable future platform for all kinds of data transfers between scanner and injector, according to Fleischmann. The synchronized scanning and contrast injection system is built on CAN in Automation (CiA) open bus technology (profile 425) that allows the Siemens and Medrad products to share detailed procedural information.
![]() |
| CT scanner and injector combination (CARE Contrast and iFlow, Siemens Medical Solutions and Medrad) enables one-touch scanning and contrast. The open bus design could serve as a future platform for more advanced data communication between different vendors' products. Image courtesy of Dr. Dominik Fleishchmann. |
The next generation of injectors will use the technology interface to provide these communication tools and more, enabling the transfer of information regarding actual and programmed flow rates, scan rates, dual flow rates, and peak pressures, he said. And if the scanner is connected to a RIS, it will be possible to distribute it to the individual patient records. In the future, it probably won't be necessary to dictate scanning and injection information into radiology reports.
"The final point is the most exciting one," Fleischmann said. "In the future it will be possible to store injection protocols together with scan protocols in a single data folder. So for a given scan protocol, a corresponding injection protocol will automatically be loaded and sent to the power injector. This will be another step where, despite the fact that we have such complex tools, our lives will in fact become simpler."
Together, these tools will make all contrast-enhanced scans simpler, easier, and more reliable for diagnosis, he said.
By Eric Barnes
AuntMinnie.com staff writer
September 28, 2006
Related Reading
Timing is everything in contrast-enhanced CT, September 28, 2006
Furosemide beats saline in MDCT urography, September 8, 2006
Concentrated iodine permits lower volumes in cardiac CTA, May 22, 2006
Elderly need less contrast for pancreatobiliary imaging, August 2, 2006
N-acetylcysteine reduces incidence of contrast-induced nephropathy June 29, 2006
Copyright © 2006 AuntMinnie.com























