
A case of a child with a button battery lodged in her esophagus for a year highlights the need for imaging exams in patients with a history of difficulty in swallowing, doctors in Tanzania recently reported.
A team of surgeons at Kilimanjaro Christian Medical Centre in Moshi removed a button battery from a two-year old girl using an invasive procedure (thoracotomy) after identifying the object on x-ray and CT exams.
"Luckily the battery case was intact during removal, preventing overt toxic alkaline hydrolysis from its contacts," wrote corresponding author Kennedy Misso, MD, and colleagues, in an article published August 20 in the International Journal of Surgery Case Reports.
Foreign body ingestion is frequent among children under four years old, with button batteries among the most common objects involved, the authors wrote.
In this case, a two-year-old girl presented with a one-year history of progressive difficulty in swallowing. She had experienced unintentional weight loss of nearly two kilograms in recent months and had been recently treated empirically for pneumonia at nearby facilities without significant relief, the authors noted.

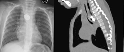
A chest x-ray revealed a halo sign and a thoracic CT scan showed a round object obstructing her esophagus. Attempts to visualize and retrieve the foreign body endoscopically were unsuccessful, and the surgeons performed a thoracotomy to retrieve it.
"A month later, she had gained two kilograms, she was playful, and feeding normally," the group wrote.
The authors noted that the battery was removed within a "false diverticulum" – a pouch in the child's esophagus that had formed due to prolonged esophageal irritation and intraluminal pressure. Typically, in pediatrics, diverticula are rare and typically stem from congenital anomalies.
"A high suspicion index and radiological investigations are needed when evaluating children with respiratory tract infections. Early diagnosis is the key to achieving successful endoscopic removal with minimal morbidity," the group concluded.
The full case report can be found here.