
CT illuminates the dangerous abdominopelvic complications caused by recreational drug use, including disseminated infections, gastrointestinal ischemia, and visceral infarction, according to a review published October 16 in RadioGraphics.
A team led by Dr. Joseph Mansour of Saint Louis University Hospital in Missouri presented symptoms radiologists must be aware of in CT imaging of recreational drug users as well as images highlighting these symptoms, noting that radiologists are likely to encounter symptoms and complications of recreational drug use that they may not be familiar with.
"Although they are less common than neurologic manifestations, gastrointestinal and genitourinary complications associated with illicit drug use are equally important and can be life threatening," the group wrote.
Recreational drug use -- particularly cocaine, cannabinoids, opioids, and amphetamines -- has been on the rise. Mansour and colleagues outlined various manifestations of recreational drug use complications with which abdominal radiologists should be familiar.
Cocaine
Vascular symptoms: This drug is a powerful vasoconstrictor, and it can cause "vasospasm of the aorta and its branches," the team noted. "There is often peripheral arterial branch pruning or alternating areas of narrowing and dilatation causing the 'string-of-sausages' sign." The drug can also cause aortic thrombosis and acute aortic syndrome.
Gastrointestinal symptoms: Perforations, ischemia, bleeding; the most common complication is "juxtapyloric and duodenal perforation from ulceration."
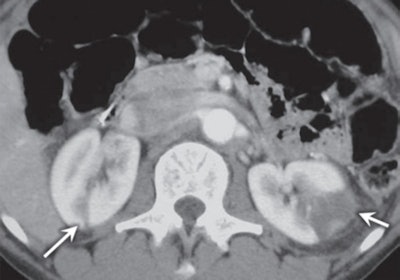
Genitourinary symptoms: Renal infarction, which tends to be more prevalent in men than in women and more common in the right kidney.

Opioids
Soft-tissue infections: These arise from the use of dirty needles to inject the drug and/or not cleaning the skin before injecting, and they can range from cellulitis to abscesses to necrotizing fasciitis; more and more cases are seen in the groin, the authors noted.
Disseminated infections: Patients may present with infective endocarditis, often in the right side of the heart; fungal endocarditis; and necrotizing enteritis.
Vascular symptoms: Septic thrombophlebitis, infectious pseudoaneurysms.
Gastrointestinal conditions: Narcotic bowel syndrome, fecal impaction, stercoral colitis.
Cannabis
Gastrointestinal complications: Delayed gastric emptying and chronic vomiting. Acute pancreatitis.
Genitourinary manifestations: Nonseminomateous germ cell tumors, increased risk of bladder or prostate cancer.
Impaired blood clotting: Coagulopathic hemorrhage, most often caused by synthetic cannabis.
Amphetamines
Vascular conditions: Necrotizing angiitis (often in the kidneys, but also in the gastrointestinal tract, liver, spleen, and pancreas).
Gastrointestinal conditions: Toxicity in the liver, renal failure, bowel ischemia, death of muscle fibers (rhabdomyolysis).
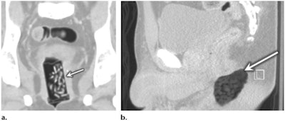
Body packing
Risks of body packing, or smuggling drugs by packing them inside the body, include packet rupture and ensuing drug absorption, localized ischemia, ulceration, and perforation.

Imaging findings in patients with complications from recreational drug use can be challenging to identify, according to the team.
"Recognizing the imaging findings and related abdominal and pelvic complications of recreational drug use allows the radiologist to suggest the cause and guide workup and appropriate treatment," the authors concluded.