
COVID-19 is the greatest health threat humanity has faced since the Spanish flu, Dr. Marie-Pierre Revel, PhD, from Paris said in Wednesday's plenary lecture to kick off the virtual edition of ECR.

"The pandemic has profoundly affected our lives, isolating us from each other and blocking all social and economic activity," Marie-Pierre Revel, PhD, professor of radiology and head of cardiothoracic imaging at Hôpital Cochin in Paris, told attendees at the ECR 2020 session. "We've experienced tragic events: People have died alone and doctors have had to make difficult choices with limited resources. And we haven’t evaluated yet all the impacts -- including the sequelae in surviving patients and the economic consequences of the lockdown."
In her presentation, called "COVID-19: Lessons and Questions from a Pandemic," she outlined what the clinical community has learned since the onset of the crisis and what questions remain to be addressed.
Lessons learned
SARS-CoV-2 was first isolated in three COVID-19 patients in Wuhan, China, at the end of December 2019. It appears to have a strong affinity for angiotensin-converting enzyme 2 (ACE2), compared with SARS-CoV-1, which was responsible for the SARS outbreak of 2003. ACE2 is expressed on the surface of airways, alveolar/epithelial cells, and endothelial cells, as well as in the kidney, intestine, brain, and testes. ACE2 is poorly expressed in children, which could be why children are at relatively low risk of developing COVID-19, Revel said.
"Loss of the pulmonary ACE2 function is associated with acute lung injury -- including pneumonia," she noted.
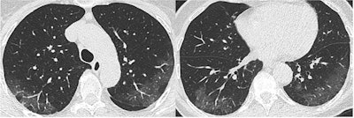
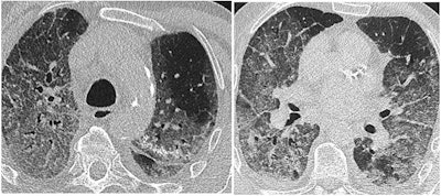
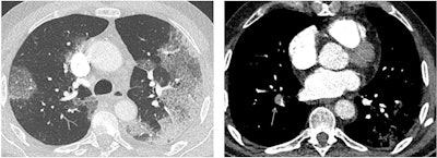
SARS-CoV-2 appears to be transmitted primarily through respiratory droplets, with a five-day median timeframe between exposure and symptoms. Thoracic CT has proven to be highly sensitive for confirming SARS-CoV-2 infection, with some studies reporting values as high as 97%, and it offers quicker results than reverse transcription polymerase chain reaction (RT-PCR) testing, according to Revel.

What are the risk factors for more severe outcomes of SARS-CoV-2 infection? Older age, male gender, and preexisting disease such as cardiovascular disease, hypertension, obesity, and diabetes, she added. Case fatality rates vary, with a rate of 14.8% for patients older than 80, a rate of less than 1% in patients with no comorbidities, a rate of 10.5% in those with cardiovascular disease, and a rate of 7.3% in those with diabetes.

Revel also noted the risk of cytokine release syndrome in some patients, as well as a risk of pulmonary embolism in some patients (between 23% and 30% of those admitted to the intensive care unit with elevated D-dimer values), she told session attendees. Yet other SARS-CoV-2-infected patients develop microvascular injury syndrome involving at least the lungs and skin, which explains "why COVID-19 has clinical features distinct from typical ARDS [acute respiratory distress syndrome] with profound hypoexemia contrasting with relatively well-preserved lung mechanics," she said.

Room to improve?
Healthcare workers have learned that they must mobilize quickly and adapt to the demands of the pandemic, Revel said, citing examples of transporting patients via high-speed (TGV) trains from Paris to Brittany when more beds were needed and Madrid hotels transforming into COVID-19 care facilities. And of course, personal protective equipment (PPE) and physical distancing are key to curbing virus transmission.
"We have learned the major importance of protective equipment and social distancing, since we don't have efficient therapy at the moment," Revel said.
However, it's also crucial for clinicians and researchers to share their experiences, knowledge, and data.
"Most journals have made articles freely available," she said. "Other things have proved disappointing, such as scientific collaboration, which must be improved."
Questions continue
There continue to be a list of vexing questions about the virus that must be addressed, Revel said, including the following:
- How should other diseases or acute conditions be managed as clinicians cope with SARS-CoV-2 infection?
- What are the long-term consequences of COVID-19, such as lung fibrosis, respiratory and neurological sequelae, and psychological effects?
- What will be the magnitude of a second wave of disease?
- What are the risks of resurgence, and will resurgence be seasonally influenced?
- What is the quality of acquired immunity?
- Which treatments can prevent severe outcomes?
There are efforts to tackle these questions, including research Revel is leading called the SARS-CoV-2 Thoracic (STOIC) Imaging Project, which will create a database of 10,000 CT scans from COVID-19 patients. STOIC is a collaboration between GE Healthcare, Orange Healthcare, TheraPanacea and Assistance Publique-Hôpitaux de Paris, Revel said.
"These questions need to be answered, since the current COVID-19 pandemic might not be over, or might not be the last," she concluded.