Dear CT Insider,
The widespread implementation of CT lung cancer screening in Europe appears to be on the horizon. New results from randomized controlled screening trials throughout the continent consistently supply mounting evidence for the test's potential benefits.
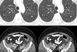
Recent results from the German Lung Cancer Screening Intervention (LUSI) trial continue the trend. The extent to which CT lung screening reduced cancer mortality risk for LUSI trial participants, particularly for female smokers, is the focal point of this edition's Insider Exclusive.
Still, the implementation of screening programs on a large scale faces numerous challenges, not only in Germany but in the U.S. as well. For example, individuals who smoke and are likely to be at highest risk of lung cancer have a tendency to shy away from basic screening exams.
Even if a greater proportion of high-risk smokers was interested in screening, researchers from Florida are reporting that less than 9% of physicians discuss CT lung screening with their patients who smoke. What's more, screening facilities are often located well out of reach for individuals in greatest need of screening services.
Various groups have responded to these and other barriers to CT lung screening with practical proposals, including the following:
- Developing educational videos and brochures to improve individuals' understanding of CT lung screening
- Integrating risk-prediction models into eligibility criteria for CT lung screening to prevent more cancer deaths and lower false-positive rates
- Employing deep-learning algorithms, such as the artificial intelligence model developed by Google, to assess cancer risk on lung CT scans and predict lung cancer survival
- Optimizing scheduling for screening exams to minimize unnecessary downstream testing
Beyond screening, several other topics have emerged in the CT Community:
- Researchers from Washington detailed how three initiatives helped lower CT radiation dose by roughly 20% across their entire hospital network.
- An international team of investigators demonstrated the utility of fractional flow reserve CT in predicting the long-term effects of cardiac disease, compared with traditional techniques.
- Clinicians from New York explored the underlying reasons driving physicians to override guideline recommendations in ordering CT pulmonary angiography exams for patients with a pulmonary embolism.
- A group out of the U.S. and Italy found that CT colonography was able to estimate colorectal cancer risk nearly as accurately as colonoscopy.
This coverage represents just a selection of news and stories available in the CT Community. Head over to AuntMinnie.com to stay abreast of ongoing developments in the field.




















