Dear AuntMinnie Member,
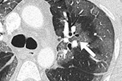
A new study out of Saudi Arabia is giving radiologists a better look at the presentation of Middle East respiratory syndrome (MERS) on CT.
Until now, radiologists had to make do with clinical studies of MERS in nonradiology journals, which lacked the specificity that imaging professionals might want to make an accurate diagnosis. But a new paper in the American Journal of Roentgenology describes the pathology in a language radiologists can understand.
Read more about the study by clicking here, or visit our AuntMinnie Middle East section at me.auntminnie.com.
SPECT of football players
Meanwhile, a new study by researchers from the University of California, Los Angeles used SPECT to detect changes in the brains of American football players -- changes that could be linked to dementia.
The researchers examined 45 former National Football League players with SPECT, looking for changes in blood flow to different areas of the brain. They did, indeed, find lower blood flow, and concluded that it was caused by repeated hits to the head.
But can the reduced blood flow be linked to conditions such as Alzheimer's disease? You'll need to read the article to find out: Click here or visit our Molecular Imaging Digital Community at molecular.auntminnie.com.
Norwegian study supports mammo
Finally, new support for screening mammography is coming from an unlikely source -- BMJ, the journal that most recently was the source of the controversial Canadian study on screening mammography.
This time, BMJ is highlighting the results of a Norwegian trial that found that women who were invited to mammography screening had 28% lower mortality than those who were not. Among women who actually went through with screening, the benefit was even higher, at 37%.
Still, the editors of BMJ were not content to give mammography its due. They ran an editorial along with the study that called breast screening's mortality benefit "modest at best," and reiterated the arguments used by mammography skeptics about screening's "harms," such as overdiagnosis and psychological stress.
We spoke with several breast screening advocates who believe the editorial says more about the editorialists than it does about the value of screening mammography. Read more by clicking here, or visit our AuntMinnieEurope.com sister site.




















