
An academic heart center in Australia has cut its coronary CT angiography (CCTA) dose in half over three years using simple techniques that emphasize prospective triggering, low kV settings, and aggressive beta-blockage, according to research presented at the Society of Cardiovascular Computed Tomography (SCCT) meeting in Baltimore.
In more than 5,000 exams performed on the same first-generation dual-source CT scanner, the center has cut its mean dose from 10 mSv to 5 mSv and reduced patients' heart rates to less than 60 beats per minute (bpm) in a cohort with a steady prevalence of disease over time.
In an interview with AuntMinnie.com, cardiologist and lead researcher Dr. Christian Hamilton-Craig, PhD, said he trained in Australia, Europe and America, including a 2010 stint with one of the first dual-source cardiac CT experts, Dr. Stephan Achenbach from the University of Erlangen-Nürnberg.
Hamilton-Craig was intrigued by the results of the Prospective Multicenter Study on Radiation Dose Estimates of Cardiac CT Angiography in Daily Practice (PROTECTION) I, which showed significantly lower doses of radiation with cardiac CTA than had been reported previously (Journal of the American Medical Association, February 4, 2009, Vol. 301:5 pp. 500-507).
Related story: JAMA study finds wide variation in cardiac CTA dose
PROTECTION I also revealed a wide range of doses, from 5 mSv to 30 mSv, and heightened awareness of dose in CCTA, Hamilton-Craig told AuntMinnie.com.
"We thought we'd better have a look at this," Hamilton-Craig said.
CCTA was originally associated with high radiation doses due to its performance with retrospective gating and its lack of automated exposure control. But the three PROTECTION trials heightened awareness of dose and the potential for reducing it drastically, using prospective gating and reduced tube current. Hamilton-Craig wanted those kinds of dose reduction numbers in his referral center.
![]() |
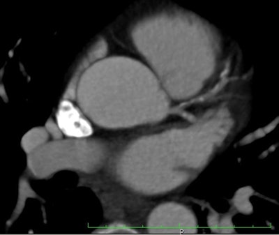
| A local family physician self-referred for coronary artery imaging due to a family history of premature coronary disease and personal history of atypical chest discomfort and a background of treated hypertension and dyslipidemia. Noncontrast, electrocardiogram (ECG)-gated coronary calcium score at 120 kVp with prospective ECG triggering, dose-length product = 29 (above). This demonstrated calcified plaque in the left anterior descending (LAD) coronary artery; Agatston calcium score = 202 at the 85th percentile for matched patient according to Multiethnic Study of Atherosclerosis (MESA) data. All images courtesy of Dr. Christian Hamilton-Craig. |
"I said let's do three simple things: We're going to reduce kV whenever we can, use prospective gating as much as possible, and in order to achieve that, we're going to heart-rate control these patients much more aggressively," he said.
Thus, Hamilton-Craig's Queensland study team, with assistance from Dr. Kelly Branch, director of coronary care at the University of Washington, examined radiation dose over time, applying lessons from the PROTECTION trials and paying particular attention to dose and heart rate.
For the first part of the study, the researchers retrospectively examined CCTA studies only in patients with suspected coronary artery disease undergoing their first scan (excluding grafts, stents, electrophysiology planning, etc.).
They calculated dose-length product (DLP) and effective dose monthly between November 2009 and March 2012, using a conversion factor of 0.014 mSv/mGy/cm.
![]() |
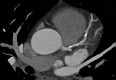
| A contrast-enhanced acquisition was performed after oral beta-blockade at a heart rate of 59 bpm (range, 57-61 bpm) (dual-source scanner with bolus tracking in the ascending aorta at 100 HU, prospective ECG triggering at 100 kVp, b26f soft-kernel reconstruction). This scan was suboptimal due to motion, misregistration, and beam hardening in the proximal left anterior descending (LAD) artery (image above). Additionally, the staff, nervous about scanning a colleague, had forgotten to give the sublingual nitrate. Images were reviewed as they came off the scanner by the radiology fellow and supervising cardiologist. The patient gave permission to repeat the scan to improve diagnostic confidence, due to the calcified LAD lesion. |
All patients were scanned on a first-generation dual-source CT scanner (Somatom Definition, Siemens Healthcare) following injection of approximately 100 mL of iodinated contrast with an automated dual-phase injector.
Prospective triggering and low kV settings were used whenever possible. Fellows and radiographers were regularly educated and encouraged to use low-dose settings.
The global analysis presented at the SCCT meeting applied the same methods to an additional 3,200 scans undertaken for indications other than first-time scans for suspected coronary artery disease.
![]() |
| A study snapshot of patients undergoing their first CCTA evaluation in November 2010, when the PROTECTION II study was published, shows that the use of prospective triggering increased significantly in subsequent studies, while mSv declined significantly and patient demographics remained steady. |
Over the study period, 1,899 native coronary artery scans were analyzed, and more than 3,274 scans were analyzed for all patients, including CTA for grafts, stents, and procedure planning (5,173 total scans).
Radiation dose per year
|
||||||||||
| Mean radiation dose fell significantly each year during the study period. |
The prevalence of disease was unchanged throughout the study, but the mean heart rate dropped dramatically over the study period due to more aggressive heart-rate control.
"If you plot heart rate as a function of radiation dose, you get a clear drop in radiation," Hamilton-Craig said in reference to another study performed on 4,171 patients in the cohort with a variety of indications for CCTA.
That analysis found that mean heart rate was 63.9 bpm ± 11 in 2009 and 64.2 bpm ±11 in 2010 (p = 0.40), falling to 61.5 bpm ± 10 in 2011 (p = 0.27) and 59.4 bpm ± 9 in 2012 (p = 0.0007).
![]() |
![]() |
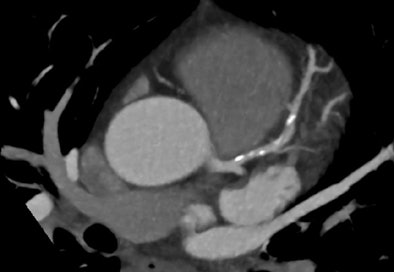
| A second contrast-enhanced acquisition (prospective ECG-triggered at 70% RR with no padding, b26f kernel with a reduced z-axis to cover the proximal coronary arteries, dose-length product [DLP] = 60) was performed nine minutes after two sprays of sublingual nitrate and additional 10 mg IV metoprolol to achieve a heart rate of 53 bpm. Contrast-phase timing is improved on the second acquisition (images above), with less contrast in the pulmonary circuit (332 HU versus 167 HU) and more contrast in the aorta and coronary arteries (365 HU versus 382 HU). Total DLP for all three acquisitions was 175 mGy/cm, for a total effective dose of 2.45 mSv. Of interest, the luminal diameter of the proximal LAD increased from 8.0 mm2 to 12.6 mm2 after sublingual nitrate (image below). The final images show eccentric, positively remodeled, calcified plaque in the LAD with mild (25% to 49%) sequential stenoses but no significant obstructive lesion (images above). Also of note, cardiac MR was performed on the same day to quantify left ventricular function, right ventricular function, and left ventricular mass due to history of hypertension, revealing a left ventricular ejection fraction of 57%, and left ventricular mass/index of 126 g/m2 indicating mild left ventricular hypertrophy. The patient's medical therapy was increased with the addition of ezetemibe to a potent statin, aiming for an LDL of < 1.5 mmol/L (< 58 mg/dL), and an ACE inhibitor added for hypertension and atherosclerosis control. This case illustrates the importance of heart rate control, sublingual nitrates, review of images at the time of acquisition, choosing the appropriate acquisition protocol to suit the patient heart rate and patient size. |
![]() |
Beta-blockage is key because CCTA's accuracy is directly related to heart-rate control, he said. The literature shows that at rates less than 60 bpm, 3% of coronary segments are unevaluable, whereas at 61 to 65 bpm, more than 21% of segments are unevaluable.
Heart-rate control also reduces radiation exposure through use of prospective gating or high-pitch scanning. The safety of "aggressive" heart-rate control, using oral and intravenous metoprolol, had not been fully evaluated previously, he said.
"We've developed a very strong feel for how much beta-blocker you can give," he said.
Going back to the phase II studies of metoprolol, the toxic dose was found to be 7,500 mg, while the lowest dose at which toxicity was ever manifested in a patient was 450 mg, he said.
"The point is that up to 450 mg, you're not even entering into the lowest possible toxic dose," he said. "We give up to 200 to 250 mg quite frequently and have never had a significant adverse event."
Scans with excellent image quality and very low doses can be produced reliably with simple techniques, he said, cautioning that the time-intensive image-quality analysis has yet to be completed for every scan in the cohort.
"I think that's the value of this paper -- that there's nothing here that can't be done by any other site in the world," he said. "There's no high-end software; there's no tricky, cutting- edge automated dose stuff. This is just looking at the scan, measuring your patient, and getting the heart rate down -- something that radiologists are less comfortable with."
Now that the Queensland clinic runs a combined service, where a cardiologist and a radiologist are involved in every scan, "it's allowed me to be much more aggressive in my heart-rate control," Hamilton-Craig said.

























