
CHICAGO - It's two tests in one! And both tests attend to critical health screening needs in older adults, according to researchers from the University of California, San Francisco (UCSF).
The researchers said that adding a CT-based bone mineral density test to virtual colonoscopy (also known as CT colonography) data is an easy way to increase the utility of a single CT dataset without doubling up on radiation exposure, time, or exam costs.
"Virtual colonoscopy ... has the potential to screen for two diseases at once -- colon cancer and osteoporosis -- both of which commonly affect adults over 50," said Dr. Rizwan Aslam, associate professor of medicine at UCSF, during a press briefing on Tuesday at the RSNA meeting. Both screening tests are also underutilized among the population that could most benefit from them, he said.
Aslam and his team, which includes Dr. Judy Yee, professor and vice chair of radiology at UCSF, performed a retrospective study of 35 asymptomatic patients in the VA system who had undergone both screening VC and dual-energy x-ray absorptiometry (DEXA).
"Colorectal cancer is the third most common cause of cancer and the second leading cause of cancer deaths," he said. "About 10% of all new cancers are colorectal cancer."
Colon screening compliance is notoriously low. Although there are about 75 million adults of screening age for colorectal cancer, only about 40% are getting screened, Aslam said. Virtual colonoscopy every five years for adults over 50, which is now on the list of screening modalities endorsed by the American Cancer Society (ACS), can fill that need.
Osteoporosis represents another commonly underdiagnosed condition. Many adults are unaware they have low bone mineral density (BMD) until a fracture occurs.
"It's a major cause of morbidity and disability, and the thing about osteoporosis is that it's an easily preventable and treatable disease -- hence early diagnosis is essential," he said. An estimated 10 million individuals (80% female) in the U.S. have osteoporosis, and an additional 34 million have osteopenia, with estimated treatment costs of $19 billion in 2005 rising to an estimated $50 billion by 2040 due to the aging population.
"We had a bunch of patients we did virtual colonoscopy on, and we mined the data to look for patients who also had bone mineral density [tests] done," Aslam said of the group's retrospective study of 35 patients (30 men, five women; mean age, 66; range, 54-79).
Prone and supine VC data were acquired on a 16-detector-row scanner (GE Healthcare, Chalfont St. Giles, U.K.) at 100 kVp and 80 mAs, following cathartic colon cleansing and colonic insufflation. Dialing down the mAs settings for ultralow-dose virtual colonoscopy would have rendered the CT data unreadable for the BMD software, Aslam told AuntMinnie.com.
Presenting for screening at a mean age of 66 years, the study participants are potentially "at that sweet spot in osteoporosis development where they're probably still amenable to treatment," he said. Analysis of CT datasets to derive bone mineral density measurements has been validated in multiple studies dating from the 1990s, Aslam said.
Two experienced readers in virtual colonoscopy independently calculated BMD from regions of interest in the trabecular bone, with the aid of Philips Healthcare's (Andover, MA) Bone Mineral Analysis Package (BMAP), a PC-based software package that monitors metabolic bone disease.
BMAP software uses a histogram-based method to measure only trabecular bone without the need for an external calibration phantom. The researchers did perform internal calibrations -- on regions of fat, muscle, and bone within each CT colonography (CTC) dataset -- as a reference guide for the software, Aslam said.
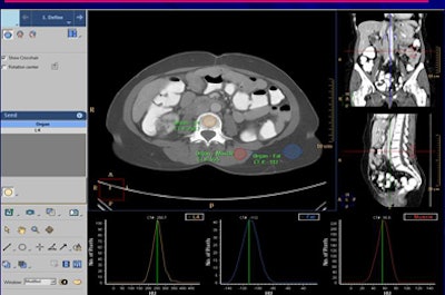
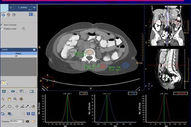
"We placed a region of interest about 220 mm2 mainly over the trabecular bone," he said. "We looked at [lumbar facets] L1, L2, and L3, and the software was able to calculate the BMD and the T-score."
![]() |
| Above and below, graphic user interface for bone mineral density software (BMAP, Philips) shows analysis of trabecular bone (marked by circular region of interest in pink) from normally acquired CTC datasets. The software plots a histogram from the region of interest to calculate peak bone mineral density value, representing the attenuation value that occurs most frequently. Tricolor map at bottom right represents three bone mineral density ranges for patients, with the topmost stripe in green representing normal bone mineral density. Black point in yellow stripe indicates a patient at risk of osteoporosis or osteopenia based on the analysis of three trabecular bone facets. All images courtesy of Dr. Rizwan Aslam. |
![]() |
BMAP results in all 35 patients were compared to results from DEXA (Discovery Series A, Hologic, Bedford, MA).
The results showed excellent correlation between the two tests, demonstrating that it is feasible to perform bone mineral density testing from CTC datasets, Aslam said.
![]() |
| Results (top) show mean scores for DEXA and CT-based bone mineral density analysis. Graph (below) demonstrates excellent correlation between derived bone mineral density and T-scores from CTC datasets with DEXA. There was excellent interobserver agreement between the two readers (bottom image) despite their having completed only a short training session on the BMAP software. |
![]() |
![]() |
Virtual colonoscopy can successfully evaluate patients for osteoporosis, Aslam said. The average bone mineral density and the average T-score were comparable, and interobserver variability was low. The data are reproducible with excellent interobserver agreement, and only limited training is required to use the software.
"It's an excellent opportunity to evaluate bone mineral density using virtual colonoscopy data," he said. "The data is there, it's freely available and we should use it. CTC provides valuable additional information on osteoporosis risk with no additional radiation and only minimal additional time and cost."
Aslam told AuntMinnie.com that about 20% of the participants had osteopenia or osteoporosis.
Based on the results, the group plans to perform a large prospective study. Patients will receive the results of both screening tests, Aslam said.
By Eric Barnes
AuntMinnie.com staff writer
December 3, 2008
Related Reading
Osteoporosis prophylaxis seen warranted in rheumatoid arthritis patients, November 30, 2008
Power Doppler ultrasound accurately tracks rheumatoid arthritis treatment response, October 1, 2008
ACRIN trial shows VC's accuracy comparable to optical colonoscopy, September 18, 2008
Five-year intervals recommended for retesting bone density, August 5, 2008
American Cancer Society recognizes virtual colonoscopy screening benefit, March 5, 2008
Copyright © 2008 AuntMinnie.com

























