
Virtual colonoscopy researchers in Italy have steered a tough combination of study constraints all the way to a successful outcome. Beginning with a prepless exam and ultralow-dose CT protocol, the group produced high sensitivity and a high negative predictive value for VC in an average-risk asymptomatic patient population.
The impressive results suggest that prepless virtual colonoscopy could soon become a viable option for patients who can't or won't have their colorectal exams any other way.
So far the researchers from University of Rome "La Sapienza" have examined 180 asymptomatic average-risk individuals with virtual colonoscopy (or CT colonography), following up within three to seven days with segmentally unblinded conventional colonoscopy, which served as the reference standard for the study.
Principal investigator Dr. Riccardo Iannaccone initially discussed the study in a presentation at the 2004 RSNA meeting, providing updated results in late May for this report.
"We have previously demonstrated that CTC (VC) without catharsis compares favorably with colonoscopy for the detection of colorectal polyps," Iannaccone said in his RSNA presentation. "Its performance must be confirmed in patients with a low prevalence of disease."
The radiologists sought to compare the diagnostic performance of VC without cathartic bowel cleansing to that of conventional colonoscopy for detecting colorectal polyps and cancer in symptomatic, average-risk patients. As of May 2005, the team had examined 180 asymptomatic subjects who had been referred for screening colonoscopy.
"We excluded all patients with symptoms, all patients with previous screening studies, all patients with a history of polyps, colorectal cancer, or IBD," he said.
An iodinated oral contrast agent consisting of diatrizoate meglumine and diatrizoate sodium (Gastrografin, Schering, Berlin) was used for fecal tagging. The agent was administered beginning 48 hours prior to CT (average dose 74 mL, dose range 55-110 mL).
"We used 1 mL of Gastrografin for each kilogram of patient body weight, divided into five meals over two days," Iannaccone said, "so we had to tailor the amount of Gastrografin. No cathartic products were used and mild dietary restrictions were followed by the patients -- in particular, only fiber-rich foods were not allowed."
Following manual bowel insufflation with room air, the subjects were scanned in the prone and supine positions on a Somatom Plus 4 Volume Zoom CT scanner (Siemens Medical Solutions, Erlangen Germany). The group used its previously demonstrated imaging protocol including 4 x 2.5-mm collimation, 3.0-mm slice thickness, 140 kVp, and ultralow 10 mAs tube current setting.
Three radiologists who were blinded to the colonoscopy findings reviewed the imaging results independently using dedicated colon imaging software (Vitrea, Vital Images, Plymouth, MN). Sensitivity was calculated both per polyp and per patient, and specificity was calculated per patient, Iannaccone said.
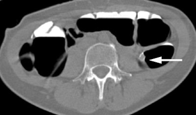
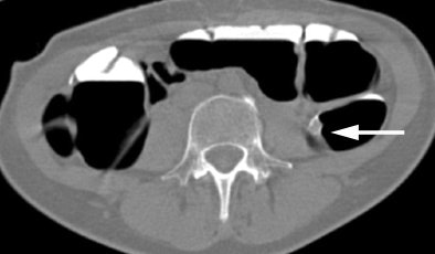
![]() |
| Axial CT colonographic (VC) image in the prone acquisition shows polyp (arrow) within descending colon. Note homogeneous tagging of the feces throughout the colon. Image courtesy of Dr. Riccardo Iannaccone. |
According to the latest results in 180 patients, conventional colonoscopy identified two carcinomas and 76 polyps in 42 patients; the remaining 138 patients showed no abnormality. Virtual colonoscopy yielded an average per-polyp sensitivity of 48.6% -- 92% for polyps 8 mm or larger.
Average per-patient sensitivity and specificity were 92.8% and 94.2%, respectively. Interobserver agreement was high on a per-polyp basis, and high to excellent on a per-patient basis, Iannaccone said. The estimated effective radiation dose was 1.8 mSv for men and 2.4 mSv females for women, including both supine and prone imaging.
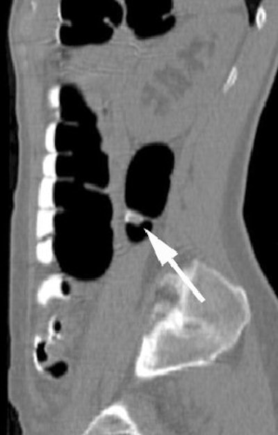
![]() |
| Sagittal VC image confirms the presence of the polyp (arrow) within the descending colon. Image courtesy of Dr. Riccardo Iannaccone. |
Results from the first 130 patients showed that the positive predictive value was 79.3% and the negative predictive value (NPV) was 96%, Iannaccone said in his RSNA presentation. "This is a very important result, because NPV represents the ability of CTC to identify patients without colorectal polyps," he said.
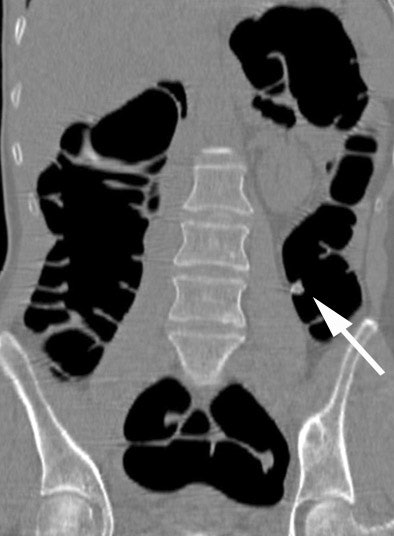
![]() |
| Coronal VC image confirms the presence of the polyp (arrow) within descending colon. Image courtesy of Dr. Riccardo Iannaccone. |
As for study limitations, the cohort remains relatively small, and the observers "have vast experience using primary 2D," Iannaccone said. Readers with less experience might have different results.
"CTC without cathartic preparation compares favorably with colonoscopy for detection of polyps 8 mm in diameter or larger, even in asymptomatic patients at average risk for colorectal cancer," Iannaccone concluded. "But certainly a larger cohort must be studied in order to confirm such promising results."
![]() |
| Endoluminal VC image demonstrates relationship of the polyp (arrow) with colonic haustral fold. Image courtesy of Dr. Riccardo Iannaccone. |
An audience member asked how unprepped colons could end up looking so clean -- at least in the examples shown in the presentation. Iannaccone said the combination of a low-residue diet and mild prep caused by the oral contrast agent produces relatively clean images in some patients.
"Gastrografin has a mild cathartic effect -- a well-known and wanted side effect that produces diarrhea, although it is certainly not ... comparable with standard cathartic preps," he said. "However, in the majority of patients, fecal material was actually present and homogeneously tagged."
No adverse reactions were observed as a result of the iodinated tagging material, he added, but current efforts are focused on reducing the Gastrografin dose, which produces excellent results, but is "too high for many patients," he said. Another audience member said the ultralow-dose images also appeared to be very low in noise, but Iannaccone said the group used a standard B20 reconstruction kernel and no special noise reduction filters.
Having recently installed a 64-slice scanner, the group will reduce the slice thickness in future studies, Iannaccone told AuntMinnie.com.
By Eric Barnes
AuntMinnie.com staff writer
June 10, 2005
Related Reading
CAD struggles through tagged, subtracted VC data, May 18, 2005
Iodine tagging regimen yields best VC results, January 27, 2005
Low-prep VC study finds CAD can be fooled, December 23, 2004
Ultralow-dose virtual colonoscopy shows high sensitivity, April 8, 2003
Copyright © 2005 AuntMinnie.com
























