Dear AuntMinnie Member,
The excitement was palpable in the air of the Metro Toronto Convention Center as we covered the Society of Nuclear Medicine and Molecular Imaging (SNMMI) annual meeting, held June 8-11. Our top story from the meeting was the ever-popular Image of the Year, which went to a team at Yale University for a study that revealed brain nuclei activity with a new research scanner named NeuroExplorer.
SNMMI President Helen Nadel, MD, tapped into the atmosphere in Toronto and summed it up best by describing that nuclear medicine is experiencing a virtual “industrial revolution.”
Leading the way are emerging theranostics and AI applications, with prostate cancer imaging expert Phillip Kuo, MD, PhD, describing new developments in PET/CT imaging of patients on lutetium-177 prostate specific membrane antigen-617 (Lu-177 PSMA-617) therapy and AI expert Tyler Bradshaw, PhD, describing in an interview how the technology is impacting nuclear medicine.
In one packed session, for instance, Kevin Leung, PhD, from Johns Hopkins University in Baltimore, MD, discussed a deep transfer learning approach for fully automated, whole-body tumor segmentation and prognosis on PET/CT scans.
There was also more on Lu-177 PSMA-617, with SNMMI’s Abstract of the Year award going to a study showing that the radiopharmaceutical can improve progression-free survival in patients who haven’t undergone taxane therapy.
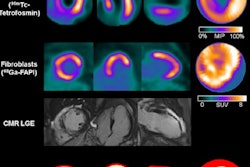
And studies describing new PET radiotracers were also highly engaging, with another of our popular stories from the meeting describing a SPECT/CT tracer that effectively images cardiac amyloidosis.
Here’s the full list of our top stories – for more, check out our full meeting coverage on our SNMMI 2024 RadCast.
- SNMMI: Image of the Year shows early brain nuclei activity
- SNMMI: Can ChatGPT start an IV line?
- SNMMI: New SPECT/CT radiotracer effectively images cardiac amyloidosis
- SNMMI: Kuo discusses imaging in Pluvicto patients, new Alzheimer’s disease treatment
- SNMMI: AI PET/CT tool accurately segments tumors for multiple cancers
- SNMMI: Clinician-scientists can propel nuclear medicine
- SNMMI: Nuclear medicine experiencing an ‘industrial revolution’
- SNMMI: Lu-177 PSMA-617 shines for taxane-naive prostate cancer
- SNMMI: FAPI PET/CT shows promise in breast cancer staging
- SNMMI: Patel discusses INOCA, new cardiac PET tracers
- SNMMI: Nuclear medicine clinician-scientists need passion, stamina
- SNMMI: PET/CT is superior to MRI for detecting head and neck paragangliomas
- SNMMI: FAPI PET/CT predicts progressive pulmonary fibrosis better than FDG
- SNMMI: Ultralow dose PET protocol eliminates need for CT



















