
Adding digital breast tomosynthesis (DBT) to a screening mammography exam reduced recall rates for patients by 40% at Yale-New Haven Hospital in New Haven, CT, according to a study presented on Thursday at the American Roentgen Ray Society (ARRS) meeting.
Dr. Liane Philpotts, chief of breast imaging and professor of diagnostic radiology at Yale School of Medicine, and breast fellow Dr. Melissa Durand described the impact of adding DBT during the first seven months of use in the radiology department.
During this time, from August 2011 to the beginning of March 2012, 7,578 screening mammograms were performed. Twenty-five percent of this group had the combined DBT and 2D mammography exam, and the remainder had a conventional digital mammography screening exam.
The recall rate was 6.6% for the patients who had the combined exam, compared with 11.1% for those who only had a routine screening exam.
![]() |
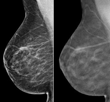
| Right breast mediolateral oblique 2D view (left) shows a spiculated asymmetry at middle depth. Right breast mediolateral oblique tomosynthesis view (right) shows the asymmetry is superimposed tissue. Images courtesy of Yale School of Medicine. |
"Similar recall rates were seen in both groups for masses," Durand said. "However, the recall rate was only 2.8% for asymmetries when digital tomosynthesis was added, compared to 7.1% when only mammography images were viewed."
The researchers also found a statistically significant difference in recall rate for classifications, with a 1.8% rate for the combined exam and 3.1% for mammography alone.
"Tomosynthesis allows us to look at the breast in 1-mm slices," Philpotts explained. "The ability to look at a suspicious finding on a slice-by-slice basis rules out visual ambiguities."
"One of the many benefits of tomosynthesis is that breast imagers can scroll through breast tissue," Durand added. "Instead of being faced with an asymmetry on 2D mammography that you're unsure of, if tomosynthesis is available, many times that area will be spread out during the scroll-through, and it will be possible to confidently assess it as normal superimposed tissue."
The DBT exam takes an additional five seconds to acquire for each view. Because the tomosynthesis view and the 2D view are performed under the same breast compression, the patient only has to be positioned once for each view. As a result, exam scheduling did not need to be modified to add extra time; the extra time just wasn't needed, Durand explained.
It takes radiologists a few minutes longer to interpret an exam, but the learning curve for DBT was not formidable, Durand said.
The imaging services department at Yale-New Haven Hospital is currently the only breast imaging facility in the state of Connecticut that offers digital tomosynthesis examinations.
"To our surprise, a larger number of patients than we had expected learned about the exam and began requesting it," Durand said. "Patient demand for a tomosynthesis exam convinced us to add a second tomosynthesis unit to our practice."
"Fewer recalls means fewer additional breast imaging views, which is cost-saving and may also reduce overall annual radiation dose," the presenters said.
Another bonus is that fewer patients will experience the anxiety of being recalled for more images. Having fewer recalls reduces stress for both the scheduler and recipient alike, they said.

















