
Among Olympic sports, cycling easily ranks in the top 10 for sheer variety of injuries. Road and track cyclists typically fall sideways and slide when they crash; mountain bikers are more frequently thrown forward over their handlebars. All three groups are susceptible to various overuse injuries.
This year’s Olympics will feature all three cycling disciplines. The only thing they really have in common is a pedal-powered, two-wheeled vehicle operated by someone in a Superman-like suit.
The "road" in road cycling can mean anything from macadam to mud to cobblestones. Participants often number well over 100, and ride in tightly massed groups. Speeds of 40 mph on flats and 70 mph down mountains are not unusual. There are individual and team time trials.
Mountain biking, which debuted as an Olympic medal sport in 1996, is conducted entirely off-road. Riders head out together but split up to ride singly, time-trial style, due to the limitations of rocky paths, streams, etc. Competition also includes style trials and downhill riding at upwards of 40 mph.
Track cycling occurs on an enclosed, banked circuit that is typically 333 meters of solid concrete. Events range from one-rider time trials, to head-to-head two-up sprints, to great hordes elbowing each other for dominance at 30-50 mph, sans brakes.
The equipment required for each discipline is quite different and complex, but the primary differences can be summed up this way:
- Road and track bikes have delicate, narrow, sometimes treadless tires; mountain bike tires are big and knobby.
- Mountain bikes have up to 21 speeds, front and rear brakes, and independent front and rear suspension. Road bikes have up to 27 speeds, front and rear brakes, and no suspension. Track bikes have one gear, no suspension, and no brakes in most cases.
Calculated risks
Not surprisingly, then, cycling can be very dangerous. In the past three years, world champion Nicole Reinhart and European stage race star Andrei Kivilev both died from head injuries in racing accidents. But fatalities are far rarer than the overuse injuries, busted collarbones, road rash, and the dreaded-but-not-deadly face plant.
![]() |
![]() |
![]() |
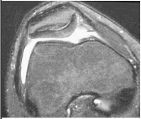
| MRI demonstrates cartilage abnormality in the patella of a cyclist. Courtesy of Duke University Medical Center, Musculoskeletal Division, Durham, NC. |
Various studies have quantified the types and severity of injuries sustained by elite cyclists. The department of emergency medicine at Loma Linda University Medical Center in Loma Linda, CA, for example, found 70.5% of injuries to be minor and involving the extremities. Sixty-five percent occurred from going over the handlebars, versus 25% from falling to the side. The forward-falling accidents produced more head and neck injuries (56% versus 8%), while sideways falls accounted for more lower-extremity injuries (88% versus 57%) (Wilderness and Environmental Medicine, Spring 2002, Vol. 13:1, pp. 27-30).
Off-roaders also sustain more dislocated shoulders and fractured clavicles and wrists, according Dr. Terry Weyman, director of the Chiropractic Sports Institute in Westlake Village, CA, and former team doctor for the ParkPre pro/am mountain bike team.
Weyman believes the number of forward-falling crashes has grown exponentially as the designs of cross-country and downhill courses have become more extreme, with more mud, ruts, and drop-offs than ever.
"The front wheel hits a rail or a rock, and the rider gets tossed forward," Weyman noted. "The hands go up to protect the face, and there go the wrist, elbow, and shoulder. I’m definitely seeing a lot more upper-extremity injuries than before."
The other cycling disciplines feature more spectacular collisions between participants.
"On the road, you’ll see broken clavicles from the crashes," Weyman said. "I’ve seen racers smash their pelvises when a guy in front of them stops, and they ram their pelvis into the handlebars."
"In track, with the pure speed and the proximity of the riders -- how close they are in the draft -- someone can roll a tire and go down, and there’s not a lot of room for error if you have to get out of somebody’s way. Definitely, there are a lot of pileups," Weyman said. "What I see most is road rash. They go into or come out of a turn at high speed, fall down, slide, and get friction burns."
Constant overuse
But the majority of injuries in serious cycling occur prior to big events, as competitors increase their training.
Strain is a huge injury factor. Mountain bikers injure their lower backs with their uphill climb training, Weyman said, while road and track racers who try to remain bent over and keep their heads up will throw off the cervical/thoracic region.
Overall, the most common problem is patellofemoral disease, which accounts for as much as 25% of all cycling injuries, according to experts.
"The overwhelming presenting injury these cyclists have is patellofemoral disease -- chondromalacia or cartilage issues in the patellofemoral joint," said Dr. Nancy Major, associate professor of radiology at Duke University in Durham, NC. "Even the tendon can get something called ‘jumper’s knee,’ which is commonly seen in basketball players."
Major co-authored a study published in the American Journal of Roentgenology that found changes suggestive of patellar tendinopathy (jumper's knee) and other abnormalities in the knees of 17 asymptomatic collegiate basketball players (AJR, September 2002, Vol. 179:3, pp. 641-644).
![]() |
![]() |
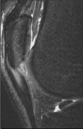
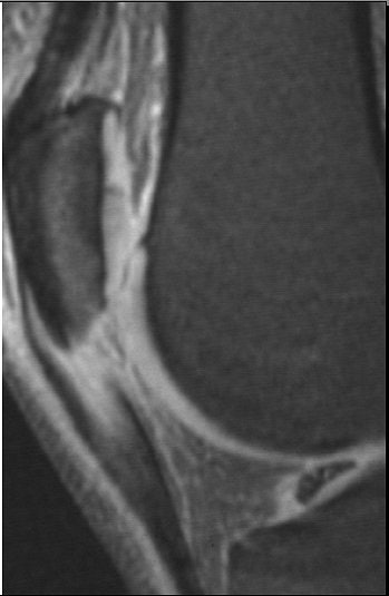
| Sagittal images of patellar tendinopathy or "jumper's knee" in a cyclist. Courtesy of Duke University Medical Center, Musculoskeletal Division, Durham, NC. |
How do cyclists get jumper's knee? "The repetitive flexion-extension process that goes around their knees can lead to strain on the patellar tendon," said Major, who sees many cycling athletes in her practice. "The tracking of that patella as it crosses the femur (causes) rubbing that can lead to problems in the joint space, and then with that tendon."
Then there is the one injury peculiar to cycling: the saddle sores that occur with prolonged training. These sores may even prompt diagnostic imaging, said Major, "if they’ve gotten so out of hand as to cause worry about osteomyelitis and infections in the ischium."
By Sydney Schuster
AuntMinnie.com contributing writer
August 16, 2004
Related Reading
US offers info on complete quadriceps tendon tears, January 30, 2004
Just (over) Do It! Imaging pegs overuse injuries in specialty sports, October 8, 2003
MR categorizes acute hamstring injuries for pre-op assessment, September 29, 2003
Copyright © 2004 AuntMinnie.com
























