
Introduction
Skier’s thumb is an injury to the ulnar collateral ligament at the first metacarpophalangeal joint of the thumb. This type of injury is classically described in English game wardens, and is also known as gamekeeper’s thumb (Diagnosis of Bone and Joint Disorders, Harcourt Health Sciences, Philadelphia, 1995).
Skier’s thumb has been reported as the most frequent upper extremity injury, second only to knee injuries as the most common type of injury in downhill skiing (American Journal of Sports Medicine, November-December 1981, Vol.9:6, pp. 378-383; International Journal of Sports Medicine, February 1982, Vol.3:1, pp. 50-55).
Clinical history
Twenty-five-year-old woman with thumb pain after an injury sustained during a fall in a National Standard Race (NASTAR) event.
Physical exam and radiographic findings
The patient had exquisite tenderness over the medial portion of the base of her right thumb. Clinical evidence of ulnar collateral ligament instability was also present, with ulnar subluxation apparent while the thumb was positioned in full flexion.
Diagnosis
Skier’s fracture of the thumb.
Discussion
Tears of the ulnar collateral ligament (UCL) of the metacarpophalangeal joint (MCPJ) of the thumb is a relatively common injury that occurs in skiers when the ski pole forces the thumb to deviate radially or by violent abduction (Sports Medicine, January 1995, Vol.19:1, pp.73-79).
Researchers have found that strapless poles do not decrease the incidence of skier’s thumb, and recommendations to decrease the frequency of this injury primarily involve training skiers to discard the pole during a fall.
Estimates of upper extremity skiing injuries have ranged from 20%-30% of all injuries encountered in the sport (American Journal of Sports Medicine, November-December 1981, Vol.9:6, pp. 378-383 ).
In a recent report, knee injuries were the most common (27%) followed by injuries to the thumb (18%) and shoulder (12%) (American Journal of Sports Medicine, January-February 2000, Vol.28:1, pp.83-89).
When the torn ulnar collateral ligament is completely disrupted, it can become displaced superficial to the adductor pollicis aponeurosis, a finding that is known as the Stener lesion (Journal of Bone and Joint Surgery, 1986, Vol.68, p.1320).
The pollicis aponeurosis can become interposed between the MCPJ and the ulnar collateral ligament and can interfere with healing of the ligament.
While splinting is advocated in stable, undisplaced avulsion fractures and incomplete ligamentous lesions of the UCL, surgery should not be delayed where ligamentous rupture is evident. If left untreated, UCL ligament disruptions can have chronic sequelae and can be quite disabling.
In addition to instability at the first MCPJ, individuals with chronic UCL disruption can experience weakness, stiffness, and severe pain. The surgical repair of a chronically disrupted ligament can be significantly more difficult due to proximal folding or retraction of the ligament.
The displacement of the ligament can sometimes be anticipated from the presence of an avulsed bone fragment from the medial portion of the proximal first phalanx.
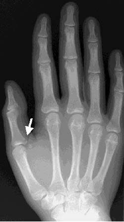
![]() |
| Anteroposterior view of the right hand reveals an oblique fracture of the proximal and medial portion of the proximal first phalanx (white arrow). The fracture extends into the joint and is in the region of the ulnar collateral ligament. |
This type of an avulsion fracture (skier’s fracture) is often accompanied by complete ligamentous disruption (more than 30° stressed radial deviation and more than 20° difference compared with the uninjured side). Arthrography of the first MCPJ has also been done in the evaluation of UCL disruptions. If the ligament is disrupted, extravasation occurs along the medial side of the joint. If the adductor aponeurosis is interposed between the UCL and the ligament attachment site, it can often be seen as a filling defect.
Although MRI may be used to visualize the UCL disruption, the combination of the plain-film findings, clinical history, and physical examination findings demonstrating instability at the first MCPJ are usually sufficient to make an accurate diagnosis of complete ligamentous disruption.
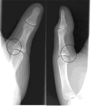
![]() |
| Coned anteroposterior (left image) and oblique (right image) views optimally demonstrate the oblique and slightly comminuted fracture (center of circles). Mild soft tissue swelling is also visible adjacent to the fracture site. Images courtesy of Dr. Douglas P. Beall. |
MR imaging, however, can be helpful in identifying a Stener lesion. With a nondisplaced UCL tear, the aponeurosis usually covers a distally disrupted ligament. When a Stener lesion is present, the UCL often demonstrates proximal folding or retraction, and the aponeurosis can be seen immediately adjacent to the retracted ligament (Radiology, August 1993, Vol.188:2, pp. 553-556).
After prompt surgical reconstruction, controlled active range of motion exercises can usually be initiated 3 weeks after the injury or 4 weeks after the surgical repair. Splinting of the thumb is continued until 6 weeks after surgical repair for protective purposes, and unrestricted use is allowed after 12 weeks (Sports Medicine, January 1995, Vol.19:1, pp.73-79).
Conclusion
Rupture of the UCL, commonly known as skier’s thumb, is one of the most common types of injuries suffered by individuals participating in downhill skiing. This lesion may often go unrecognized, and untreated lesions can be associated with significant disability. Recognition of this entity, combined with appropriate treatment, may prevent much of the adverse long-term sequelae associated with this injury.
By Dr. Douglas P. BeallAuntMinnie.com contributing writer
February 15, 2002
Dr. Beall is a staff radiologist in the musculoskeletal division, department of radiology at Wilford Hall Medical Center, Lackland Air Force Base, TX. He also is an assistant professor of radiology, department of radiology and nuclear medicine, Uniformed Services Health University in Bethesda, MD.
The opinions and assertions herein are the private views of the authors and are not to be construed as official or as reflecting the view of the Department of the U.S. Air Force, U.S. Department of Defense, or the U.S. government.
Copyright © 2002 AuntMinnie.com





















