2015: Page 3
Lightning strikes for Toshiba at ECR 2015
March 5, 2015
TeraRecon features new products at ECR 2015
March 5, 2015
Screening sweet spot key for personalized medicine
March 5, 2015
CAD becomes a spell-check for small polyps
March 5, 2015
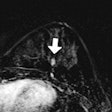
CAD boosts breast MRI sensitivity
March 5, 2015









