Europe
Clinical News
Informatics
Industry News
Practice Management
Education
Subspecialties
More
Sign In
Medical Students
Residents/Fellows
Scott Williams
Residents/Fellows: Page 51
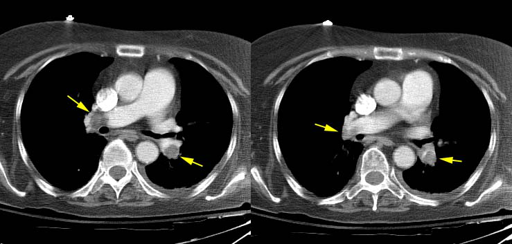
Mucous plug mimicks PE
By
Scott Williams
August 28, 2001
Pulmonary embolsim in a patient with left iliac vein thrombosis
By
Scott Williams
August 28, 2001
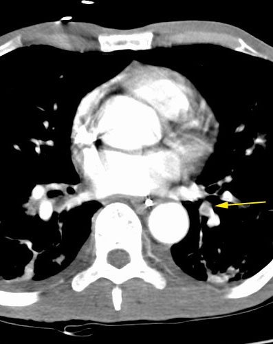
CT PE DVT example
By
Scott Williams
August 28, 2001
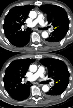
Pulmonary emboli in a lymphoma patient with SVC thrombosis
By
Scott Williams
August 28, 2001
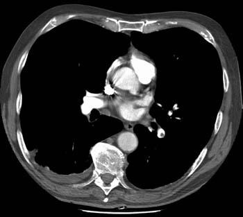
Massive Pulmonary Embolism
By
Scott Williams
August 28, 2001
Thyroid Cancer
By
Scott Williams
I-131 scanning has been the mainstay for the evaluation of recurrent thyroid carcinoma.Patients who are found to have I-131 accumulating local recurrences or metastases on diagnostic scans will usually receive subsequent therapeutic I-131 doses which may be curative. Unfortunately, not all recurrences are iodine avid (50-60% of papillary and 64-67% of follicular cancer recurrences are iodine avid).
August 28, 2001
Ref7 PET thyroid cancer
By
Scott Williams
August 28, 2001
Ref6 PET thyroid cancer
By
Scott Williams
August 28, 2001
Ref5 PET thyroid cancer
By
Scott Williams
August 28, 2001
Ref4 PET thyroid cancer
By
Scott Williams
August 28, 2001
Ref3 PET thyroid cancer
By
Scott Williams
August 28, 2001
Ref2 PET thyroid cancer
By
Scott Williams
August 28, 2001
Previous Page
Page 51 of 64
Next Page