
Ping An Insurance launched an artificial intelligence (AI) algorithm designed to analyze medical images for signs of coronavirus disease (COVID-19). The algorithm has been used already on about 5,000 patients.
The algorithm was developed by Ping An Smart Healthcare and has been used by about 1,500 medical institutions at no charge. It can generate an analysis of medical images in 15 seconds with an accuracy rate of about 90%. This is a major advantage, considering radiologists often need about 15 minutes to read CT images of patients suspected of having coronavirus, according to the company.

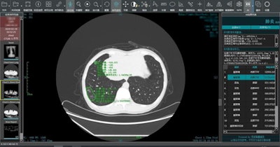
Ping An's algorithm can analyze medical images for signs of infection with COVID-19. Image courtesy of Ping An Insurance.Ping An's algorithm can analyze medical images for signs of infection with COVID-19. Image courtesy of Ping An Insurance.
Clinical data were used to train AI model to detect signs of COVID-19 infection in patients. It can conduct a comparative analysis of multiple CT scans of the same patient and measure changes in lesions. It assists doctors in diagnosing, determining the severity of the patients' conditions, and evaluating patients for COVID-19 swiftly and effectively, according to the company.
Additionally, the algorithm supports AI image reading remotely by clinicians outside epidemic areas, and institutions can gain access on premises or via public or private cloud platforms.



















